提醒成功

搜索
Rabbit Polyclonal Antibody to CLDN7
-
货号:
P30734 -
别名:
Claudin-7, CLDN-7, CLDN7, CEPTRL2, CPETRL2 -
应用:
WB,IHC-P,FCM -
反应种属:
Human -
抗体类型:
Primary antibody -
Swissprot:
O95471 -
规格:
-
数量:
-+ -
说明书:
目录价¥1980

Rabbit Polyclonal Antibody to CLDN7
Description |
---|
This gene encodes a member of the claudin family. Claudins are integral membrane proteins and components of tight junction strands. Tight junction strands serve as a physical barrier to prevent solutes and water from passing freely through the paracellular space between epithelial or endothelial cell sheets, and also play critical roles in maintaining cell polarity and signal transductions. Differential expression of this gene has been observed in different types of malignancies, including breast cancer, ovarian cancer, hepatocellular carcinomas, urinary tumors, prostate cancer, lung cancer, head and neck cancers, thyroid carcinomas, etc.. Alternatively spliced transcript variants encoding different isoforms have been found. |
Specification |
|
---|---|
Aliases | Claudin-7, CLDN-7, CLDN7, CEPTRL2, CPETRL2 |
Entrez GeneID | 1366 |
Swissprot | O95471 |
WB Predicted band size | 22.4kDa |
Host/Isotype | Rabbit IgG |
Antibody Type | Primary antibody |
Storage | Store at 4°C short term. Aliquot and store at -20°C long term. Avoid freeze/thaw cycles. |
Species Reactivity | Human |
Immunogen | This CLDN7 antibody is generated from rabbits immunized with a KLH conjugated synthetic peptide between 172-201 amino acids from the C-terminal region of human CLDN7. |
Formulation | Purified antibody in PBS with 0.05% sodium azide. |
Application |
|
---|---|
WB | 1/1000 |
IHC | 1/100-1/500 |
FCM | 1/10-1/50 |
Product Image
- CLDN7 Antibody (C-term) (Cat. #P30734) western blot analysis in Hela cell line lysates (35ug/lane).This demonstrates the CLDN7 antibody detected the CLDN7 protein (arrow).
- CLDN7 Antibody (C-term) (Cat. #P30734) flow cytometric analysis of Hela cells (right histogram) compared to a negative control cell (left histogram).FITC-conjugated goat-anti-rabbit secondary antibodies were used for the analysis.
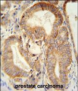
- CLDN7 antibody (C-term) (Cat. #P30734) immunohistochemistry analysis in formalin fixed and paraffin embedded human prostate carcinoma followed by peroxidase conjugation of the secondary antibody and DAB staining. This data demonstrates the use of the CLDN7 antibody (C-term) for immunohistochemistry. Clinical relevance has not been evaluated.
For Reseach Only
Application Key:WB - Western Blot | IHC - Immunohistochemistry | ICC - Immunocytochemistry | FCM - Flow Cytometry | ELISA - Enzyme-linked Immunosorbent Assay | IP - Immunoprecipitation
#P30734

相关产品


