提醒成功

搜索
Mouse Monoclonal Antibody to RPS6KB2
-
货号:
P30720 -
别名:
Ribosomal protein S6 kinase beta-2, S6K-beta-2, S6K2, 70 kDa ribosomal protein S6 kinase 2, P70S6K2, p70-S6K 2, S6 kinase-related kinase, SRK, Serine/threonine-protein kinase 14B, p70 ribosomal S6 kinase beta, S6K-beta, p70 S6 kinase beta, p70 S6K-beta, p70 S6KB, p70-beta, RPS6KB2, STK14B -
应用:
WB,IHC-P,FCM -
反应种属:
Human, Mouse -
抗体类型:
Primary antibody -
Swissprot:
Q9UBS0 -
规格:
-
数量:
-+ -
说明书:
目录价¥2180

Mouse Monoclonal Antibody to RPS6KB2
Description |
---|
Phosphorylates specifically ribosomal protein S6. |
Specification |
|
---|---|
Aliases | Ribosomal protein S6 kinase beta-2, S6K-beta-2, S6K2, 70 kDa ribosomal protein S6 kinase 2, P70S6K2, p70-S6K 2, S6 kinase-related kinase, SRK, Serine/threonine-protein kinase 14B, p70 ribosomal S6 kinase beta, S6K-beta, p70 S6 kinase beta, p70 S6K-beta, p70 S6KB, p70-beta, RPS6KB2, STK14B |
Entrez GeneID | 6199 |
Swissprot | Q9UBS0 |
WB Predicted band size | 53.5kDa |
Host/Isotype | Mouse IgG1 |
Antibody Type | Primary antibody |
Storage | Store at 4°C short term. Aliquot and store at -20°C long term. Avoid freeze/thaw cycles. |
Species Reactivity | Human, Mouse |
Immunogen | This RPS6KB2 Monoclonal antibody was raised using purified His-tagged recombinant human RPS6KB2. |
Formulation | Purified antibody in PBS with 0.05% sodium azide. |
Application |
|
---|---|
WB | 1/1000-1/2000 |
IHC | 1/100-1/500 |
FCM | 1/10-1/50 |
Product Image
- RPS6KB2 Antibody (Cat. #P30720) western blot analysis in Jurkat cell line lysates (15μg/lane).This demonstrates the RPS6KB2 antibody detected the RPS6KB2 protein (arrow).(1:1000)
- RPS6KB2 Antibody (Cat. #P30720) western blot analysis in mouse NIH-3T3 cell line lysates (15μg/lane).This demonstrates the RPS6KB2 antibody detected the RPS6KB2 protein (arrow).(1:2000)
- RPS6KB2 Monoclonal( Ascites) (Cat. #P30720) flow cytometric analysis of Jurkat cells (right histogram) compared to a negative control cell (left histogram).FITC-conjugated goat-anti-mouse secondary antibodies were used for the analysis.
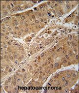
- RPS6KB2 Monoclonal( Ascites) (Cat. #P30720) immunohistochemistry analysis in formalin fixed and paraffin embedded human hepatocarcinoma followed by peroxidase conjugation of the secondary antibody and DAB staining. This data demonstrates the use of the RPS6KB2 Monoclonal( Ascites) for immunohistochemistry. Clinical relevance has not been evaluated.
For Reseach Only
Application Key:WB - Western Blot | IHC - Immunohistochemistry | ICC - Immunocytochemistry | FCM - Flow Cytometry | ELISA - Enzyme-linked Immunosorbent Assay | IP - Immunoprecipitation
#P30720

相关产品


