提醒成功

搜索
Rabbit Polyclonal Antibody to PCYXL (C-term)
-
货号:
P30702 -
别名:
Prenylcysteine oxidase-like, 183-, PCYOX1L -
应用:
WB,IHC-P -
反应种属:
Human, Mouse -
抗体类型:
Primary antibody -
Swissprot:
Q8NBM8 -
规格:
-
数量:
-+ -
说明书:
目录价¥1980

Rabbit Polyclonal Antibody to PCYXL (C-term)
Description |
---|
Probable oxidoreductase (By similarity). |
Specification |
|
---|---|
Aliases | Prenylcysteine oxidase-like, 183-, PCYOX1L |
Entrez GeneID | 78991 |
Swissprot | Q8NBM8 |
WB Predicted band size | 54.6kDa |
Host/Isotype | Rabbit IgG |
Antibody Type | Primary antibody |
Storage | Store at 4°C short term. Aliquot and store at -20°C long term. Avoid freeze/thaw cycles. |
Species Reactivity | Human, Mouse |
Immunogen | This PCYXL antibody is generated from rabbits immunized with a KLH conjugated synthetic peptide between 465-494 amino acids from the C-terminal region of human PCYXL. |
Formulation | Purified antibody in PBS with 0.05% sodium azide. |
Application |
|
---|---|
WB | 1/1000 |
IHC | 1/100-1/500 |
Product Image
- PCYXL Antibody (C-term) (Cat. #P30702) western blot analysis in mouse liver tissue lysates (15ug/lane).This demonstrates the PCYXL antibody detected PCYXL protein (arrow).
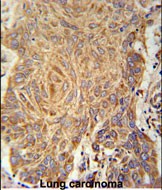
- PCYXL Antibody (C-term) (Cat. #P30702) immunohistochemistry analysis in formalin fixed and paraffin embedded human Lung carcinoma followed by peroxidase conjugation of the secondary antibody and DAB staining. This data demonstrates the use of the PCYXL Antibody (C-term) for immunohistochemistry. Clinical relevance has not been evaluated.
For Reseach Only
Application Key:WB - Western Blot | IHC - Immunohistochemistry | ICC - Immunocytochemistry | FCM - Flow Cytometry | ELISA - Enzyme-linked Immunosorbent Assay | IP - Immunoprecipitation
#P30702

相关产品


