提醒成功

搜索
Rabbit Polyclonal Antibody to RBM24 (N-term)
-
货号:
P30701 -
别名:
RNA-binding protein 24, RNA-binding motif protein 24, RNA-binding region-containing protein 6, RBM24, RNPC6 -
应用:
WB,IHC-P,FCM -
反应种属:
Human, Mouse -
抗体类型:
Primary antibody -
Swissprot:
Q9BX46 -
规格:
-
数量:
-+ -
说明书:
目录价¥1980

Rabbit Polyclonal Antibody to RBM24 (N-term)
Description |
---|
RBM24 is preferentially expressed in muscle during differentiation in vitro and may regulate myogenic differentiation. |
Specification |
|
---|---|
Aliases | RNA-binding protein 24, RNA-binding motif protein 24, RNA-binding region-containing protein 6, RBM24, RNPC6 |
Entrez GeneID | 221662 |
Swissprot | Q9BX46 |
WB Predicted band size | 24.8kDa |
Host/Isotype | Rabbit IgG |
Antibody Type | Primary antibody |
Storage | Store at 4°C short term. Aliquot and store at -20°C long term. Avoid freeze/thaw cycles. |
Species Reactivity | Human, Mouse |
Immunogen | This RBM24 antibody is generated from rabbits immunized with a KLH conjugated synthetic peptide between 4-32 amino acids from the N-terminal region of human RBM24. |
Formulation | Purified antibody in PBS with 0.05% sodium azide. |
Application |
|
---|---|
WB | 1/1000 |
IHC | 1/100-1/500 |
FCM | 1/10-1/50 |
Product Image
- RBM24 Antibody (N-term) (Cat. #P30701) western blot analysis in mouse heart tissue lysates (15ug/lane).This demonstrates the RBM24 antibody detected RBM24 protein (arrow).
- RBM24 Antibody (N-term) (Cat. #P30701) flow cytometric analysis of 293 cells (right histogram) compared to a negative control cell (left histogram).FITC-conjugated goat-anti-rabbit secondary antibodies were used for the analysis.
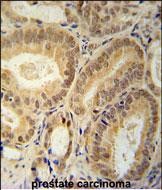
- RBM24 Antibody (N-term) (Cat. #P30701) immunohistochemistry analysis in formalin fixed and paraffin embedded human prostate carcinoma followed by peroxidase conjugation of the secondary antibody and DAB staining. This data demonstrates the use of the RBM24 Antibody (N-term) for immunohistochemistry. Clinical relevance has not been evaluated.
For Reseach Only
Application Key:WB - Western Blot | IHC - Immunohistochemistry | ICC - Immunocytochemistry | FCM - Flow Cytometry | ELISA - Enzyme-linked Immunosorbent Assay | IP - Immunoprecipitation
#P30701

相关产品


