提醒成功

搜索
Rabbit Polyclonal Antibody to HHAT (N-term)
-
货号:
P30690 -
别名:
Protein-cysteine N-palmitoyltransferase HHAT, 231-, Hedgehog acyltransferase, Melanoma antigen recognized by T-cells 2, MART-2, Skinny hedgehog protein 1, HHAT, MART2, SKI1 -
应用:
WB,IHC-P,FCM -
反应种属:
Human -
抗体类型:
Primary antibody -
Swissprot:
Q5VTY9 -
规格:
-
数量:
-+ -
说明书:
目录价¥1980

Rabbit Polyclonal Antibody to HHAT (N-term)
Description |
---|
Skinny hedgehog' (SKI1) encodes an enzyme that acts within the secretory pathway to catalyze amino-terminal palmitoylation of 'hedgehog' (see MIM 600725). |
Specification |
|
---|---|
Aliases | Protein-cysteine N-palmitoyltransferase HHAT, 231-, Hedgehog acyltransferase, Melanoma antigen recognized by T-cells 2, MART-2, Skinny hedgehog protein 1, HHAT, MART2, SKI1 |
Entrez GeneID | 55733 |
Swissprot | Q5VTY9 |
WB Predicted band size | 57.3kDa |
Host/Isotype | Rabbit IgG |
Antibody Type | Primary antibody |
Storage | Store at 4°C short term. Aliquot and store at -20°C long term. Avoid freeze/thaw cycles. |
Species Reactivity | Human |
Immunogen | This HHAT antibody is generated from rabbits immunized with a KLH conjugated synthetic peptide between 30-59 amino acids from the N-terminal region of human HHAT. |
Formulation | Purified antibody in PBS with 0.05% sodium azide. |
Application |
|
---|---|
WB | 1/1000 |
IHC | 1/100-1/500 |
FCM | 1/10-1/50 |
Product Image
- HHAT Antibody (N-term) (Cat.#P30690) western blot analysis in K562 cell line lysates (35ug/lane).This demonstrates the HHAT antibody detected the HHAT protein (arrow).
- HHAT Antibody (N-term) (Cat. #P30690) flow cytometric analysis of K562 cells (bottom histogram) compared to a negative control cell (top histogram).FITC-conjugated goat-anti-rabbit secondary antibodies were used for the analysis.
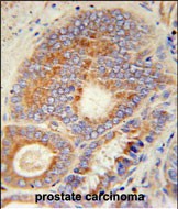
- HHAT Antibody (N-term) (Cat. #P30690) immunohistochemistry analysis in formalin fixed and paraffin embedded human prostate carcinoma followed by peroxidase conjugation of the secondary antibody and DAB staining. This data demonstrates the use of the HHAT Antibody (N-term) for immunohistochemistry. Clinical relevance has not been evaluated.
For Reseach Only
Application Key:WB - Western Blot | IHC - Immunohistochemistry | ICC - Immunocytochemistry | FCM - Flow Cytometry | ELISA - Enzyme-linked Immunosorbent Assay | IP - Immunoprecipitation
#P30690

相关产品


