提醒成功
搜索
Rabbit Polyclonal Antibody to ATP11C
-
货号:
P30680 -
别名:
Phospholipid-transporting ATPase IG, ATPase IQ, ATPase class VI type 11C, P4-ATPase flippase complex alpha subunit ATP11C, ATP11C, ATPIG, ATPIQ -
应用:
WB,IHC-P,FCM -
反应种属:
Human, Mouse ,Hamster -
抗体类型:
Primary antibody -
Swissprot:
Q8NB49 -
规格:
-
数量:
-+ -
说明书:
目录价¥1980
Rabbit Polyclonal Antibody to ATP11C
Description |
|---|
The function of ATP11C remains unknown. |
Specification |
|
|---|---|
| Aliases | Phospholipid-transporting ATPase IG, ATPase IQ, ATPase class VI type 11C, P4-ATPase flippase complex alpha subunit ATP11C, ATP11C, ATPIG, ATPIQ |
| Entrez GeneID | 286410 |
| Swissprot | Q8NB49 |
| WB Predicted band size | 129.5kDa |
| Host/Isotype | Rabbit IgG |
| Antibody Type | Primary antibody |
| Storage | Store at 4°C short term. Aliquot and store at -20°C long term. Avoid freeze/thaw cycles. |
| Species Reactivity | Human, Mouse ,Hamster |
| Immunogen | This ATP11C antibody is generated from rabbits immunized with a KLH conjugated synthetic peptide between 589-616 amino acids from the Central region of human ATP11C. |
| Formulation | Purified antibody in PBS with 0.05% sodium azide. |
Application |
|
|---|---|
| WB | 1/1000 |
| IHC | 1/100-1/500 |
| FCM | 1/10-1/50 |
Product Image
- ATP11C Antibody (Center) (Cat.#P30680) western blot analysis in mouse lung tissue lysates (35ug/lane).This demonstrates the ATP11C antibody detected ATP11C protein (arrow).
- ATP11C Antibody (Center) (Cat.#P30680) western blot analysis in CHO cell line lysates (35ug/lane).This demonstrates the ATP11C antibody detected the ATP11C protein (arrow).
- ATP11C Antibody (Center) (Cat. #P30680) flow cytometric analysis of 293 cells (bottom histogram) compared to a negative control cell (top histogram).FITC-conjugated goat-anti-rabbit secondary antibodies were used for the analysis.
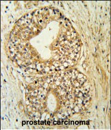
- ATP11C Antibody (Center (Cat. #P30680) immunohistochemistry analysis in formalin fixed and paraffin embedded human prostate carcinoma followed by peroxidase conjugation of the secondary antibody and DAB staining. This data demonstrates the use of the ATP11C Antibody (Center for immunohistochemistry. Clinical relevance has not been evaluated.
For Reseach Only
Application Key:WB - Western Blot | IHC - Immunohistochemistry | ICC - Immunocytochemistry | FCM - Flow Cytometry | ELISA - Enzyme-linked Immunosorbent Assay | IP - Immunoprecipitation
#P30680
相关产品

微信/QQ登录


首页
