提醒成功
搜索
Rabbit Polyclonal Antibody to UBAC1
-
货号:
P30671 -
别名:
Ubiquitin-associated domain-containing protein 1, UBA domain-containing protein 1, E3 ubiquitin-protein ligase subunit KPC2, Glialblastoma cell differentiation-related protein 1, Kip1 ubiquitination-promoting complex protein 2, UBAC1, GBDR1, KPC2, UBADC1 -
应用:
WB,IHC-P,FCM -
反应种属:
Human -
抗体类型:
Primary antibody -
Swissprot:
Q9BSL1 -
规格:
-
数量:
-+ -
说明书:
目录价¥1980
Rabbit Polyclonal Antibody to UBAC1
Description |
|---|
UBAC1 belongs to the subfamily of ubiquitously expressed heterogeneous nuclear ribonucleoproteins (hnRNPs). The hnRNPs are RNA binding proteins and they complex with heterogeneous nuclear RNA (hnRNA). These proteins are associated with pre-mRNAs in the nucleus and appear to influence pre-mRNA processing and other aspects of mRNA metabolism and transport. While all of the hnRNPs are present in the nucleus, some seem to shuttle between the nucleus and the cytoplasm. The hnRNP proteins have distinct nucleic acid binding properties. The protein has two RRM domains that bind to RNAs. |
Specification |
|
|---|---|
| Aliases | Ubiquitin-associated domain-containing protein 1, UBA domain-containing protein 1, E3 ubiquitin-protein ligase subunit KPC2, Glialblastoma cell differentiation-related protein 1, Kip1 ubiquitination-promoting complex protein 2, UBAC1, GBDR1, KPC2, UBADC1 |
| Entrez GeneID | 10422 |
| Swissprot | Q9BSL1 |
| WB Predicted band size | 45.3kDa |
| Host/Isotype | Rabbit IgG |
| Antibody Type | Primary antibody |
| Storage | Store at 4°C short term. Aliquot and store at -20°C long term. Avoid freeze/thaw cycles. |
| Species Reactivity | Human |
| Immunogen | This UBAC1 antibody is generated from rabbits immunized with a KLH conjugated synthetic peptide between 264-292 amino acids from the C-terminal region of human UBAC1. |
| Formulation | Purified antibody in PBS with 0.05% sodium azide. |
Application |
|
|---|---|
| WB | 1/1000 |
| IHC | 1/100-1/500 |
| FCM | 1/10-1/50 |
Product Image
- UBAC1 Antibody (C-term) (Cat. #P30671) western blot analysis in K562 cell line lysates (35ug/lane).This demonstrates the UBAC1 antibody detected the UBAC1 protein (arrow).
- UBAC1 Antibody (C-term) (Cat. #P30671) flow cytometric analysis of K562 cells (right histogram) compared to a negative control cell (left histogram).FITC-conjugated goat-anti-rabbit secondary antibodies were used for the analysis.
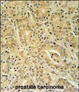
- UBAC1 Antibody (C-term) (Cat. #P30671) immunohistochemistry analysis in formalin fixed and paraffin embedded human prostate carcinoma followed by peroxidase conjugation of the secondary antibody and DAB staining. This data demonstrates the use of the UBAC1 Antibody (C-term) for immunohistochemistry. Clinical relevance has not been evaluated.
For Reseach Only
Application Key:WB - Western Blot | IHC - Immunohistochemistry | ICC - Immunocytochemistry | FCM - Flow Cytometry | ELISA - Enzyme-linked Immunosorbent Assay | IP - Immunoprecipitation
#P30671
相关产品

微信/QQ登录


首页
