提醒成功

搜索
Rabbit Polyclonal Antibody to PSMD7
-
货号:
P30643 -
别名:
26S proteasome non-ATPase regulatory subunit 7, 26S proteasome regulatory subunit RPN8, 26S proteasome regulatory subunit S12, Mov34 protein homolog, Proteasome subunit p40, PSMD7, MOV34L -
应用:
WB,IHC-P,FCM -
反应种属:
Human -
抗体类型:
Primary antibody -
Swissprot:
P51665 -
规格:
-
数量:
-+ -
说明书:
目录价¥1980

Rabbit Polyclonal Antibody to PSMD7
Description |
---|
The 26S proteasome is a multicatalytic proteinase complex with a highly ordered structure composed of 2 complexes, a 20S core and a 19S regulator. The 20S core is composed of 4 rings of 28 non-identical subunits; 2 rings are composed of 7 alpha subunits and 2 rings are composed of 7 beta subunits. The 19S regulator is composed of a base, which contains 6 ATPase subunits and 2 non-ATPase subunits, and a lid, which contains up to 10 non-ATPase subunits. Proteasomes are distributed throughout eukaryotic cells at a high concentration and cleave peptides in an ATP/ubiquitin-dependent process in a non-lysosomal pathway. An essential function of a modified proteasome, the immunoproteasome, is the processing of class I MHC peptides. PSMD7 is a non-ATPase subunit of the 19S regulator. A pseudogene has been identified on chromosome 17. |
Specification |
|
---|---|
Aliases | 26S proteasome non-ATPase regulatory subunit 7, 26S proteasome regulatory subunit RPN8, 26S proteasome regulatory subunit S12, Mov34 protein homolog, Proteasome subunit p40, PSMD7, MOV34L |
Entrez GeneID | 5713 |
Swissprot | P51665 |
WB Predicted band size | 37.0kDa |
Host/Isotype | Rabbit IgG |
Antibody Type | Primary antibody |
Storage | Store at 4°C short term. Aliquot and store at -20°C long term. Avoid freeze/thaw cycles. |
Species Reactivity | Human |
Immunogen | This PSMD7 antibody is generated from rabbits immunized with a KLH conjugated synthetic peptide between 267-295 amino acids from the C-terminal region of human PSMD7. |
Formulation | Purified antibody in PBS with 0.05% sodium azide. |
Application |
|
---|---|
WB | 1/1000 |
IHC | 1/100-1/500 |
FCM | 1/10-1/50 |
Product Image
- PSMD7 Antibody (C-term) (Cat.#P30643) western blot analysis in HepG2 cell line lysates (35ug/lane).This demonstrates the PSMD7 antibody detected the PSMD7 protein (arrow).
- PSMD7 Antibody (C-term) (Cat. #P30643) flow cytometric analysis of HepG2 cells (right histogram) compared to a negative control cell (left histogram).FITC-conjugated goat-anti-rabbit secondary antibodies were used for the analysis.
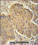
- PSMD7 Antibody (C-term) (Cat. #P30643) immunohistochemistry analysis in formalin fixed and paraffin embedded human lung carcinoma followed by peroxidase conjugation of the secondary antibody and DAB staining. This data demonstrates the use of the PSMD7 Antibody (C-term) for immunohistochemistry. Clinical relevance has not been evaluated.
For Reseach Only
Application Key:WB - Western Blot | IHC - Immunohistochemistry | ICC - Immunocytochemistry | FCM - Flow Cytometry | ELISA - Enzyme-linked Immunosorbent Assay | IP - Immunoprecipitation
#P30643

相关产品


