提醒成功

搜索
Rabbit Polyclonal Antibody to FAM92A1
-
货号:
P30639 -
别名:
Protein FAM92A1, FAM92A1 -
应用:
WB,IHC-P -
反应种属:
Human -
抗体类型:
Primary antibody -
Swissprot:
A1XBS5 -
规格:
-
数量:
-+ -
说明书:
目录价¥1980

Rabbit Polyclonal Antibody to FAM92A1
Description |
---|
The function of this protein has not been specifically defined. |
Specification |
|
---|---|
Aliases | Protein FAM92A1, FAM92A1 |
Entrez GeneID | 137392 |
Swissprot | A1XBS5 |
WB Predicted band size | 33.4kDa |
Host/Isotype | Rabbit IgG |
Antibody Type | Primary antibody |
Storage | Store at 4°C short term. Aliquot and store at -20°C long term. Avoid freeze/thaw cycles. |
Species Reactivity | Human |
Immunogen | This FAM92A1 antibody is generated from rabbits immunized with a KLH conjugated synthetic peptide between 113-141 amino acids from the Central region of human FAM92A1. |
Formulation | Purified antibody in PBS with 0.05% sodium azide. |
Application |
|
---|---|
WB | 1/1000 |
IHC | 1/100-1/500 |
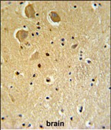
Product Image
- Western blot analysis of FAM92A1 Antibody (Center) (Cat. #P30639) in SK-BR-3 cell line lysates (35ug/lane).FAM92A1 (arrow) was detected using the purified Pab.
- FAM92A1 Antibody (Center) (Cat. #P30639) IHC analysis in formalin fixed and paraffin embedded human brain tissue followed by peroxidase conjugation of the secondary antibody and DAB staining. This data demonstrates the use of the FAM92A1 Antibody (Center) for immunohistochemistry. Clinical relevance has not been evaluated.
For Reseach Only
Application Key:WB - Western Blot | IHC - Immunohistochemistry | ICC - Immunocytochemistry | FCM - Flow Cytometry | ELISA - Enzyme-linked Immunosorbent Assay | IP - Immunoprecipitation
#P30639

相关产品


