提醒成功
搜索
Rabbit Polyclonal Antibody to Roundabout 4 (N-term)
-
货号:
P30631 -
别名:
Roundabout homolog 4, Magic roundabout, ROBO4 -
应用:
WB,IHC-P,FCM -
反应种属:
Human -
抗体类型:
Primary antibody -
Swissprot:
Q8WZ75 -
规格:
-
数量:
-+ -
说明书:
目录价¥1980
Rabbit Polyclonal Antibody to Roundabout 4 (N-term)
Description |
|---|
Roundabout 4 is receptor for Slit proteins, at least for SLIT2, and seems to be involved in angiogenesis and vascular patterning. This protein may mediate the inhibition of primary endothelial cell migration by Slit proteins. |
Specification |
|
|---|---|
| Aliases | Roundabout homolog 4, Magic roundabout, ROBO4 |
| Entrez GeneID | 54538 |
| Swissprot | Q8WZ75 |
| WB Predicted band size | 107.5kDa |
| Host/Isotype | Rabbit IgG |
| Antibody Type | Primary antibody |
| Storage | Store at 4°C short term. Aliquot and store at -20°C long term. Avoid freeze/thaw cycles. |
| Species Reactivity | Human |
| Immunogen | This Roundabout 4 antibody is generated from rabbits immunized with a KLH conjugated synthetic peptide between 236-264 amino acids from the N-terminal region of human Roundabout 4. |
| Formulation | Purified antibody in PBS with 0.05% sodium azide. |
Application |
|
|---|---|
| WB | 1/1000 |
| IHC | 1/100-1/500 |
| FCM | 1/10-1/50 |
Product Image
- Roundabout 4 Antibody (N-term) (Cat. #P30631) western blot analysis in 293,K562,HL-60 cell line lysates (35ug/lane).This demonstrates the Roundabout4 antibody detected the Roundabout4 protein (arrow).
- Roundabout 4 Antibody (N-term) (Cat. #P30631) flow cytometric analysis of 293 cells (right histogram) compared to a negative control cell (left histogram).FITC-conjugated goat-anti-rabbit secondary antibodies were used for the analysis.
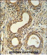
- Roundabout 4 Antibody (N-term) (Cat. #P30631) IHC analysis in formalin fixed and paraffin embedded prostate carcinoma followed by peroxidase conjugation of the secondary antibody and DAB staining. This data demonstrates the use of the Roundabout 4 Antibody (N-term) for immunohistochemistry. Clinical relevance has not been evaluated.
For Reseach Only
Application Key:WB - Western Blot | IHC - Immunohistochemistry | ICC - Immunocytochemistry | FCM - Flow Cytometry | ELISA - Enzyme-linked Immunosorbent Assay | IP - Immunoprecipitation
#P30631
相关产品

微信/QQ登录


首页
