提醒成功
搜索
Rabbit Polyclonal Antibody to SMARCC1 (N-term)
-
货号:
P30630 -
别名:
SWI/SNF complex subunit SMARCC1, BRG1-associated factor 155, BAF155, SWI/SNF complex 155 kDa subunit, SWI/SNF-related matrix-associated actin-dependent regulator of chromatin subfamily C member 1, SMARCC1, BAF155 -
应用:
WB,IHC-P,FCM -
反应种属:
Human -
抗体类型:
Primary antibody -
Swissprot:
Q92922 -
规格:
-
数量:
-+ -
说明书:
目录价¥1980
Rabbit Polyclonal Antibody to SMARCC1 (N-term)
Description |
|---|
SMARCC1 is a member of the SWI/SNF family of proteins, whose members display helicase and ATPase activities and which are thought to regulate transcription of certain genes by altering the chromatin structure around those genes. The encoded protein is part of the large ATP-dependent chromatin remodeling complex SNF/SWI and contains a predicted leucine zipper motif typical of many transcription factors. |
Specification |
|
|---|---|
| Aliases | SWI/SNF complex subunit SMARCC1, BRG1-associated factor 155, BAF155, SWI/SNF complex 155 kDa subunit, SWI/SNF-related matrix-associated actin-dependent regulator of chromatin subfamily C member 1, SMARCC1, BAF155 |
| Entrez GeneID | 6599 |
| Swissprot | Q92922 |
| WB Predicted band size | 122.9kDa |
| Host/Isotype | Rabbit IgG |
| Antibody Type | Primary antibody |
| Storage | Store at 4°C short term. Aliquot and store at -20°C long term. Avoid freeze/thaw cycles. |
| Species Reactivity | Human |
| Immunogen | This SMARCC1 antibody is generated from rabbits immunized with a KLH conjugated synthetic peptide between 268-297 amino acids from the N-terminal region of human SMARCC1. |
| Formulation | Purified antibody in PBS with 0.05% sodium azide. |
Application |
|
|---|---|
| WB | 1/1000 |
| IHC | 1/100-1/500 |
| FCM | 1/10-1/50 |
Product Image
- Western blot analysis of SMARCC1 Antibody (N-term) (Cat. #P30630) in K562 cell line lysates (35ug/lane).SMARCC1 (arrow) was detected using the purified Pab.
- SMARCC1 Antibody (N-term) (Cat. #P30630) flow cytometric analysis of K562 cells (right histogram) compared to a negative control cell (left histogram).FITC-conjugated goat-anti-rabbit secondary antibodies were used for the analysis.
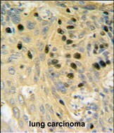
- SMARCC1 Antibody (N-term) (Cat. #P30630) IHC analysis in formalin fixed and paraffin embedded lung carcinoma followed by peroxidase conjugation of the secondary antibody and DAB staining. This data demonstrates the use of the SMARCC1 Antibody (N-term) for immunohistochemistry. Clinical relevance has not been evaluated.
For Reseach Only
Application Key:WB - Western Blot | IHC - Immunohistochemistry | ICC - Immunocytochemistry | FCM - Flow Cytometry | ELISA - Enzyme-linked Immunosorbent Assay | IP - Immunoprecipitation
#P30630
相关产品

微信/QQ登录


首页
