提醒成功
搜索
Rabbit Polyclonal Antibody to RIMKLB (N-term)
-
货号:
P30629 -
别名:
Beta-citrylglutamate synthase B, N-acetyl-aspartylglutamate synthetase B, NAAG synthetase B, NAAGS, Ribosomal protein S6 modification-like protein B, RIMKLB, FAM80B, KIAA1238 -
应用:
WB,IHC-P,FCM -
反应种属:
Human, Mouse -
抗体类型:
Primary antibody -
Swissprot:
Q9ULI2 -
规格:
-
数量:
-+ -
说明书:
目录价¥1980
Rabbit Polyclonal Antibody to RIMKLB (N-term)
Specification |
|
|---|---|
| Aliases | Beta-citrylglutamate synthase B, N-acetyl-aspartylglutamate synthetase B, NAAG synthetase B, NAAGS, Ribosomal protein S6 modification-like protein B, RIMKLB, FAM80B, KIAA1238 |
| Entrez GeneID | 57494 |
| Swissprot | Q9ULI2 |
| WB Predicted band size | 42.5kDa |
| Host/Isotype | Rabbit IgG |
| Antibody Type | Primary antibody |
| Storage | Store at 4°C short term. Aliquot and store at -20°C long term. Avoid freeze/thaw cycles. |
| Species Reactivity | Human, Mouse |
| Immunogen | This RIMKLB antibody is generated from rabbits immunized with a KLH conjugated synthetic peptide between 1-30 amino acids from the N-terminal region of human RIMKLB. |
| Formulation | Purified antibody in PBS with 0.05% sodium azide. |
Application |
|
|---|---|
| WB | 1/1000 |
| IHC | 1/100-1/500 |
| FCM | 1/10-1/50 |
Product Image
- Western blot analysis of RIMKLB Antibody (N-term) (Cat. #P30629) in mouse liver tissue lysates (35ug/lane).RIMKLB (arrow) was detected using the purified Pab.
- RIMKLB Antibody (N-term) (Cat. #P30629) flow cytometric analysis of 293 cells (right histogram) compared to a negative control cell (left histogram).FITC-conjugated goat-anti-rabbit secondary antibodies were used for the analysis.
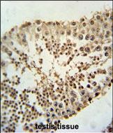
- RIMKLB Antibody (N-term) (Cat. #P30629) immunohistochemistry analysis in formalin fixed and paraffin embedded human testis tissue followed by peroxidase conjugation of the secondary antibody and DAB staining. This data demonstrates the use of the RIMKLB Antibody (N-term) for immunohistochemistry. Clinical relevance has not been evaluated.
For Reseach Only
Application Key:WB - Western Blot | IHC - Immunohistochemistry | ICC - Immunocytochemistry | FCM - Flow Cytometry | ELISA - Enzyme-linked Immunosorbent Assay | IP - Immunoprecipitation
#P30629
相关产品

微信/QQ登录


首页
