提醒成功

搜索
Rabbit Polyclonal Antibody to LPPR4 (C-term)
-
货号:
P30616 -
别名:
Lipid phosphate phosphatase-related protein type 4, Brain-specific phosphatidic acid phosphatase-like protein 1, Plasticity-related gene 1 protein, PRG-1, LPPR4, KIAA0455, PRG1 -
应用:
WB,IHC-P,FCM -
反应种属:
Human -
抗体类型:
Primary antibody -
Swissprot:
Q7Z2D5 -
规格:
-
数量:
-+ -
说明书:
目录价¥1980

Rabbit Polyclonal Antibody to LPPR4 (C-term)
Description |
---|
LPPR4 belongs to the lipid phosphate phosphatase (LPP) family. LPPs catalyze the dephosphorylation of a number of bioactive lipid mediators that regulate a variety of cell functions. This protein is specifically expressed in neurons. It is located in the membranes of outgrowing axons and has been shown to be important for axonal outgrowth during development and regenerative sprouting. |
Specification |
|
---|---|
Aliases | Lipid phosphate phosphatase-related protein type 4, Brain-specific phosphatidic acid phosphatase-like protein 1, Plasticity-related gene 1 protein, PRG-1, LPPR4, KIAA0455, PRG1 |
Entrez GeneID | 9890 |
Swissprot | Q7Z2D5 |
WB Predicted band size | 83.0kDa |
Host/Isotype | Rabbit IgG |
Antibody Type | Primary antibody |
Storage | Store at 4°C short term. Aliquot and store at -20°C long term. Avoid freeze/thaw cycles. |
Species Reactivity | Human |
Immunogen | This LPPR4 antibody is generated from rabbits immunized with a KLH conjugated synthetic peptide between 666-695 amino acids from the C-terminal region of human LPPR4. |
Formulation | Purified antibody in PBS with 0.05% sodium azide. |
Application |
|
---|---|
WB | 1/1000 |
IHC | 1/100-1/500 |
FCM | 1/10-1/50 |
Product Image
- LPPR4 Antibody (C-term) (Cat. #P30616) western blot analysis in Hela,Jurkat,NCI-H460 cell line lysates (35ug/lane).This demonstrates the LPPR4 antibody detected the LPPR4 protein (arrow).
- LPPR4 Antibody (C-term) (Cat. #P30616) flow cytometric analysis of NCI-H460 cells (right histogram) compared to a negative control cell (left histogram).FITC-conjugated goat-anti-rabbit secondary antibodies were used for the analysis.
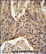
- LPPR4 Antibody (C-term) (Cat. #P30616) immunohistochemistry analysis in formalin fixed and paraffin embedded human lung carcinoma followed by peroxidase conjugation of the secondary antibody and DAB staining. This data demonstrates the use of the LPPR4 Antibody (C-term) for immunohistochemistry. Clinical relevance has not been evaluated.
For Reseach Only
Application Key:WB - Western Blot | IHC - Immunohistochemistry | ICC - Immunocytochemistry | FCM - Flow Cytometry | ELISA - Enzyme-linked Immunosorbent Assay | IP - Immunoprecipitation
#P30616

相关产品


