提醒成功

搜索
Rabbit Polyclonal Antibody to FA20A (N-term)
-
货号:
P30615 -
别名:
Protein FAM20A, FAM20A -
应用:
WB,IHC-P,FCM -
反应种属:
Human -
抗体类型:
Primary antibody -
Swissprot:
Q96MK3 -
规格:
-
数量:
-+ -
说明书:
目录价¥1980

Rabbit Polyclonal Antibody to FA20A (N-term)
Specification |
|
---|---|
Aliases | Protein FAM20A, FAM20A |
Entrez GeneID | 54757 |
Swissprot | Q96MK3 |
WB Predicted band size | 61.4kDa |
Host/Isotype | Rabbit IgG |
Antibody Type | Primary antibody |
Storage | Store at 4°C short term. Aliquot and store at -20°C long term. Avoid freeze/thaw cycles. |
Species Reactivity | Human |
Immunogen | This FA20A antibody is generated from rabbits immunized with a KLH conjugated synthetic peptide between 48-77 amino acids from the N-terminal region of human FA20A. |
Formulation | Purified antibody in PBS with 0.05% sodium azide. |
Application |
|
---|---|
WB | 1/1000 |
IHC | 1/100-1/500 |
FCM | 1/10-1/50 |
Product Image
- Western blot analysis of FA20A Antibody (N-term) (Cat. #P30615) in MCF-7 cell line lysates (35ug/lane). FA20A (arrow) was detected using the purified Pab.
- FA20A Antibody (N-term) (Cat. #P30615) flow cytometric analysis of MCF-7 cells (right histogram) compared to a negative control cell (left histogram).FITC-conjugated goat-anti-rabbit secondary antibodies were used for the analysis.
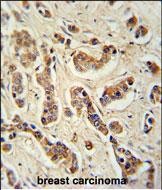
- FA20A Antibody (N-term) (Cat. #P30615) immunohistochemistry analysis in formalin fixed and paraffin embedded human breast carcinoma tissue followed by peroxidase conjugation of the secondary antibody and DAB staining. This data demonstrates the use of the FA20A Antibody (N-term) for immunohistochemistry. Clinical relevance has not been evaluated.
For Reseach Only
Application Key:WB - Western Blot | IHC - Immunohistochemistry | ICC - Immunocytochemistry | FCM - Flow Cytometry | ELISA - Enzyme-linked Immunosorbent Assay | IP - Immunoprecipitation
#P30615

相关产品


