提醒成功

搜索
Rabbit Polyclonal Antibody to CC50B (N-term)
-
货号:
P30614 -
别名:
Cell cycle control protein 50B, P4-ATPase flippase complex beta subunit TMEM30B, Transmembrane protein 30B, TMEM30B, CDC50B -
应用:
WB,IHC-P,FCM -
反应种属:
Human -
抗体类型:
Primary antibody -
Swissprot:
Q3MIR4 -
规格:
-
数量:
-+ -
说明书:
目录价¥1980

Rabbit Polyclonal Antibody to CC50B (N-term)
Specification |
|
---|---|
Aliases | Cell cycle control protein 50B, P4-ATPase flippase complex beta subunit TMEM30B, Transmembrane protein 30B, TMEM30B, CDC50B |
Entrez GeneID | 161291 |
Swissprot | Q3MIR4 |
WB Predicted band size | 38.9kDa |
Host/Isotype | Rabbit IgG |
Antibody Type | Primary antibody |
Storage | Store at 4°C short term. Aliquot and store at -20°C long term. Avoid freeze/thaw cycles. |
Species Reactivity | Human |
Immunogen | This CC50B antibody is generated from rabbits immunized with a KLH conjugated synthetic peptide between 42-71 amino acids from the N-terminal region of human CC50B. |
Formulation | Purified antibody in PBS with 0.05% sodium azide. |
Application |
|
---|---|
WB | 1/1000 |
IHC | 1/100-1/500 |
FCM | 1/10-1/50 |
Product Image
- Western blot analysis of CC50B Antibody (N-term) (Cat. #P30614) in MDA-MB435 cell line lysates (35ug/lane). CC50B (arrow) was detected using the purified Pab.
- CC50B Antibody (N-term) (Cat. #P30614) flow cytometric analysis of MDA-MB435 cells (right histogram) compared to a negative control cell (left histogram).FITC-conjugated goat-anti-rabbit secondary antibodies were used for the analysis.
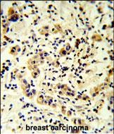
- CC50B Antibody (N-term) (Cat. #P30614) IHC analysis in formalin fixed and paraffin embedded human breast carcinoma followed by peroxidase conjugation of the secondary antibody and DAB staining. This data demonstrates the use of the CC50B Antibody (N-term) for immunohistochemistry. Clinical relevance has not been evaluated.
For Reseach Only
Application Key:WB - Western Blot | IHC - Immunohistochemistry | ICC - Immunocytochemistry | FCM - Flow Cytometry | ELISA - Enzyme-linked Immunosorbent Assay | IP - Immunoprecipitation
#P30614

相关产品


