提醒成功

搜索
Mouse Monoclonal Antibody to TWIST1
-
货号:
30506 -
别名:
SCS; ACS3; CRS1; BPES2; BPES3; TWIST; bHLHa38 -
应用:
WB,IHC,IF,FCM -
反应种属:
Human,Mouse,Rat,Rabbit -
抗体类型:
Primary antibody -
Swissprot:
Q15672 -
规格:
-
数量:
-+ -
说明书:
目录价¥2180

Mouse Monoclonal Antibody to TWIST1
Description |
---|
Basic helix-loop-helix (bHLH) transcription factors have been implicated in cell lineage determination and differentiation. The protein encoded by this gene is a bHLH transcription factor and shares similarity with another bHLH transcription factor, Dermo1. The strongest expression of this mRNA is in placental tissue; in adults, mesodermally derived tissues express this mRNA preferentially. Mutations in this gene have been found in patients with Saethre-Chotzen syndrome. |
References |
---|
1. Cancer Res. 2013 Jan 15;73(2):662-71. 2. Cancer Res. 2012 Dec 15;72(24):6382-92. |
Specification |
|
---|---|
Aliases | SCS; ACS3; CRS1; BPES2; BPES3; TWIST; bHLHa38 |
Entrez GeneID | 7291 |
Swissprot | Q15672 |
clone | 10E4E6 |
WB Predicted band size | 21kDa |
Host/Isotype | Mouse IgG1 |
Antibody Type | Primary antibody |
Storage | Store at 4°C short term. Aliquot and store at -20°C long term. Avoid freeze/thaw cycles. |
Species Reactivity | Human,Mouse,Rat,Rabbit |
Immunogen | Purified recombinant fragment of human TWIST1 (AA: 9-74) expressed in E. Coli. |
Formulation | Purified antibody in PBS with 0.05% sodium azide |
Application |
|
---|---|
WB | 1/500 - 1/2000 |
IHC | 1/100 - 1/500 |
IF/ICC | 1/50 - 1/500 |
FCM | 1/200 - 1/400 |
ELISA | 1/10000 |
Product Image
- Black line: Control Antigen (100 ng); Purple line: Antigen(10ng); Blue line: Antigen (50 ng); Red line: Antigen (100 ng);
- Western blot analysis using TWIST1 mouse mAb against NIH/3T3 (1), JURKAT (2), HELA (3), A549 (4), RAJI (5) and OCM-1 (6) cell lysate.
- Immunofluorescence analysis of Hela cells using TWIST1 mouse mAb (green). Blue: DRAQ5 fluorescent DNA dye.
- Flow cytometric analysis of Hela cells using TWIST1 mouse mAb (green) and negative control (red).
- Immunohistochemical analysis of paraffin-embedded human cervical cancer tissues using TWIST1 mouse mAb with DAB staining.
- Immunohistochemical analysis of paraffin-embedded human colon cancer tissues using TWIST1 mouse mAb with DAB staining.
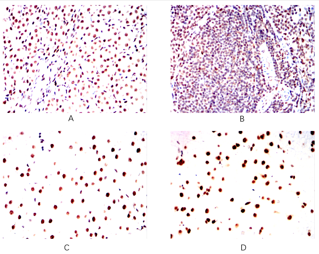
- Immunohistochemical analysis of paraffin-embedded Mouse kidney(A)Mouse spleen(B)Mouse liver(C)Mouse brain(D) using TWIST1 mouse mAb with DAB staining.
- Immunohistochemical analysis of paraffin-embedded Rat kidney(A)Rat spleen(B)Rat liver(C)Rat brain(D) using TWIST1 mouse mAb with DAB staining.
- Immunohistochemical analysis of paraffin-embedded Rabbit kidney(A)Rabbit spleen(B)Rabbit liver(C)Rabbit brain(D) using TWIST1 mouse mAb with DAB staining.
For Reseach Only
Application Key:WB - Western Blot | IHC - Immunohistochemistry | ICC - Immunocytochemistry | FCM - Flow Cytometry | ELISA - Enzyme-linked Immunosorbent Assay | IP - Immunoprecipitation
#30506

相关产品


