提醒成功
搜索
Rabbit Polyclonal Antibody to FAM44B
-
货号:
P30595 -
别名:
Biorientation of chromosomes in cell division protein 1, Biorientation defective protein 1, Protein FAM44B, BOD1, FAM44B -
应用:
WB,IHC-P,FCM -
反应种属:
Human -
抗体类型:
Primary antibody -
Swissprot:
Q96IK1 -
规格:
-
数量:
-+ -
说明书:
目录价¥1980
Rabbit Polyclonal Antibody to FAM44B
Description |
|---|
FAM44B required for proper chromosome biorientation through the detection or correction of syntelic attachments in mitotic spindles. |
Specification |
|
|---|---|
| Aliases | Biorientation of chromosomes in cell division protein 1, Biorientation defective protein 1, Protein FAM44B, BOD1, FAM44B |
| Entrez GeneID | 91272 |
| Swissprot | Q96IK1 |
| WB Predicted band size | 19.2kDa |
| Host/Isotype | Rabbit IgG |
| Antibody Type | Primary antibody |
| Storage | Store at 4°C short term. Aliquot and store at -20°C long term. Avoid freeze/thaw cycles. |
| Species Reactivity | Human |
| Immunogen | This FAM44B antibody is generated from rabbits immunized with a KLH conjugated synthetic peptide between 127-155 amino acids from the C-terminal region of human FAM44B. |
| Formulation | Purified antibody in PBS with 0.05% sodium azide. |
Application |
|
|---|---|
| WB | 1/1000 |
| IHC | 1/100-1/500 |
| FCM | 1/10-1/50 |
Product Image
- Western blot analysis of FAM44B Antibody (C-term) (Cat. #P30595) in MCF-7 cell line lysates (35ug/lane). FAM44B (arrow) was detected using the purified Pab.
- FAM44B Antibody (C-term) (Cat. #P30595) flow cytometric analysis of MCF-7 cells (right histogram) compared to a negative control cell (left histogram).FITC-conjugated goat-anti-rabbit secondary antibodies were used for the analysis.
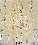
- FAM44B Antibody (C-term) (Cat. #P30595) IHC analysis in formalin fixed and paraffin embedded brain tissue followed by peroxidase conjugation of the secondary antibody and DAB staining. This data demonstrates the use of the FAM44B Antibody (C-term) for immunohistochemistry. Clinical relevance has not been evaluated.
For Reseach Only
Application Key:WB - Western Blot | IHC - Immunohistochemistry | ICC - Immunocytochemistry | FCM - Flow Cytometry | ELISA - Enzyme-linked Immunosorbent Assay | IP - Immunoprecipitation
#P30595
相关产品

微信/QQ登录


首页
