提醒成功

搜索
Rabbit Polyclonal Antibody to IMP3
-
货号:
P30583 -
别名:
U3 small nucleolar ribonucleoprotein protein IMP3, U3 snoRNP protein IMP3, BRMS2, IMP3, C15orf12, MRPS4 -
应用:
WB,IHC-P,FCM -
反应种属:
Human, Mouse -
抗体类型:
Primary antibody -
Swissprot:
Q9NV31 -
规格:
-
数量:
-+ -
说明书:
目录价¥1980

Rabbit Polyclonal Antibody to IMP3
Description |
---|
This gene encodes the human homolog of the yeast Imp3 protein. The protein localizes to the nucleoli and interacts with the U3 snoRNP complex. The protein contains an S4 domain. |
Specification |
|
---|---|
Aliases | U3 small nucleolar ribonucleoprotein protein IMP3, U3 snoRNP protein IMP3, BRMS2, IMP3, C15orf12, MRPS4 |
Entrez GeneID | 55272 |
Swissprot | Q9NV31 |
WB Predicted band size | 21.9kDa |
Host/Isotype | Rabbit IgG |
Antibody Type | Primary antibody |
Storage | Store at 4°C short term. Aliquot and store at -20°C long term. Avoid freeze/thaw cycles. |
Species Reactivity | Human, Mouse |
Immunogen | This IMP3 antibody is generated from rabbits immunized with a KLH conjugated synthetic peptide between 156-184 amino acids from the C-terminal region of human IMP3. |
Formulation | Purified antibody in PBS with 0.05% sodium azide. |
Application |
|
---|---|
WB | 1/1000 |
IHC | 1/100-1/500 |
FCM | 1/10-1/50 |
Product Image
- Western blot analysis of IMP3 Antibody (C-term)(Cat. #P30583) in Hela cell line lysates (35ug/lane). IMP3 (arrow) was detected using the purified Pab.
- IMP3 Antibody (C-term) (Cat. #P30583) flow cytometric analysis of Hela cells (right histogram) compared to a negative control cell (left histogram).FITC-conjugated goat-anti-rabbit secondary antibodies were used for the analysis.
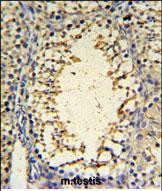
- IMP3 Antibody (C-term) (Cat. #P30583) IHC analysis in formalin fixed and paraffin embedded mouse testis tissue followed by peroxidase conjugation of the secondary antibody and DAB staining. This data demonstrates the use of the IMP3 Antibody (C-term) for immunohistochemistry. Clinical relevance has not been evaluated.
For Reseach Only
Application Key:WB - Western Blot | IHC - Immunohistochemistry | ICC - Immunocytochemistry | FCM - Flow Cytometry | ELISA - Enzyme-linked Immunosorbent Assay | IP - Immunoprecipitation
#P30583

相关产品


