提醒成功
搜索
Rabbit Polyclonal Antibody to PYCR1
-
货号:
P30582 -
别名:
Pyrroline-5-carboxylate reductase 1, mitochondrial, P5C reductase 1, P5CR 1, PYCR1 -
应用:
WB,IHC-P,FCM -
反应种属:
Human -
抗体类型:
Primary antibody -
Swissprot:
P32322 -
规格:
-
数量:
-+ -
说明书:
目录价¥1980
Rabbit Polyclonal Antibody to PYCR1
Description |
|---|
This gene encodes an enzyme that catalyzes the NAD(P)H-dependent conversion of pyrroline-5-carboxylate to proline. This enzyme may also play a physiologic role in the generation of NADP(+) in some cell types. The protein forms a homopolymer and localizes to the mitochondrion. |
Specification |
|
|---|---|
| Aliases | Pyrroline-5-carboxylate reductase 1, mitochondrial, P5C reductase 1, P5CR 1, PYCR1 |
| Entrez GeneID | 5831 |
| Swissprot | P32322 |
| WB Predicted band size | 33.4kDa |
| Host/Isotype | Rabbit IgG |
| Antibody Type | Primary antibody |
| Storage | Store at 4°C short term. Aliquot and store at -20°C long term. Avoid freeze/thaw cycles. |
| Species Reactivity | Human |
| Immunogen | This PYCR1 antibody is generated from rabbits immunized with a KLH conjugated synthetic peptide between 291-319 amino acids from the C-terminal region of human PYCR1. |
| Formulation | Purified antibody in PBS with 0.05% sodium azide. |
Application |
|
|---|---|
| WB | 1/1000 |
| IHC | 1/100-1/500 |
| FCM | 1/10-1/50 |
Product Image
- PYCR1 Antibody (C-term) (Cat. #P30582) western blot analysis in K562,WiDr,HepG2 cell line lysates (35ug/lane).This demonstrates the PYCR1 antibody detected the PYCR1 protein (arrow).
- PYCR1 Antibody (C-term) (Cat. #P30582) flow cytometric analysis of HepG2 cells (right histogram) compared to a negative control cell (left histogram).FITC-conjugated goat-anti-rabbit secondary antibodies were used for the analysis.
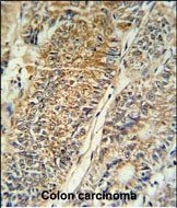
- PYCR1 Antibody (C-term) (Cat. #P30582) IHC analysis in formalin fixed and paraffin embedded colon carcinoma followed by peroxidase conjugation of the secondary antibody and DAB staining. This data demonstrates the use of the PYCR1 Antibody (C-term) for immunohistochemistry. Clinical relevance has not been evaluated.
For Reseach Only
Application Key:WB - Western Blot | IHC - Immunohistochemistry | ICC - Immunocytochemistry | FCM - Flow Cytometry | ELISA - Enzyme-linked Immunosorbent Assay | IP - Immunoprecipitation
#P30582
相关产品

微信/QQ登录


首页
