提醒成功

搜索
Rabbit Polyclonal Antibody to CDC45L
-
货号:
P30579 -
别名:
Cell division control protein 45 homolog, PORC-PI-1, CDC45, CDC45L, CDC45L2 -
应用:
WB,IHC-P,FCM -
反应种属:
Human -
抗体类型:
Primary antibody -
Swissprot:
O75419 -
规格:
-
数量:
-+ -
说明书:
目录价¥1980

Rabbit Polyclonal Antibody to CDC45L
Description |
---|
The protein encoded by this gene was identified by its strong similarity with Saccharomyces cerevisiae Cdc45, an essential protein required to the initiation of DNA replication. Cdc45 is a member of the highly conserved multiprotein complex including Cdc6/Cdc18, the minichromosome maintenance proteins (MCMs) and DNA polymerase, which is important for early steps of DNA replication in eukaryotes. This protein has been shown to interact with MCM7 and DNA polymerase alpha. Studies of the similar gene in Xenopus suggested that this protein play a pivotal role in the loading of DNA polymerase alpha onto chromatin. Multiple polyadenlyation sites of this gene are reported. |
Specification |
|
---|---|
Aliases | Cell division control protein 45 homolog, PORC-PI-1, CDC45, CDC45L, CDC45L2 |
Entrez GeneID | 8318 |
Swissprot | O75419 |
WB Predicted band size | 65.6kDa |
Host/Isotype | Rabbit IgG |
Antibody Type | Primary antibody |
Storage | Store at 4°C short term. Aliquot and store at -20°C long term. Avoid freeze/thaw cycles. |
Species Reactivity | Human |
Immunogen | This CDC45L antibody is generated from rabbits immunized with a KLH conjugated synthetic peptide between 236-263 amino acids from the Central region of human CDC45L. |
Formulation | Purified antibody in PBS with 0.05% sodium azide. |
Application |
|
---|---|
WB | 1/1000 |
IHC | 1/100-1/500 |
FCM | 1/10-1/50 |
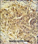
Product Image
- Western blot analysis of CDC45L Antibody (Center) (Cat. #P30579) in 293 cell line lysates (35ug/lane). CDC45L (arrow) was detected using the purified Pab.
- CDC45L Antibody (Center) (Cat. #P30579) flow cytometric analysis of 293 cells (right histogram) compared to a negative control cell (left histogram).FITC-conjugated goat-anti-rabbit secondary antibodies were used for the analysis.
- CDC45L Antibody (Center) (Cat. #P30579) IHC analysis in formalin fixed and paraffin embedded testis tissue followed by peroxidase conjugation of the secondary antibody and DAB staining. This data demonstrates the use of the CDC45L Antibody (Center) for immunohistochemistry. Clinical relevance has not been evaluated.
For Reseach Only
Application Key:WB - Western Blot | IHC - Immunohistochemistry | ICC - Immunocytochemistry | FCM - Flow Cytometry | ELISA - Enzyme-linked Immunosorbent Assay | IP - Immunoprecipitation
#P30579

相关产品


