提醒成功

搜索
Rabbit Polyclonal Antibody to TYROBP
-
货号:
P30578 -
别名:
TYRO protein tyrosine kinase-binding protein, DNAX-activation protein 12, Killer-activating receptor-associated protein, KAR-associated protein, TYROBP, DAP12, KARAP -
应用:
WB,IHC-P,FCM -
反应种属:
Human -
抗体类型:
Primary antibody -
Swissprot:
O43914 -
规格:
-
数量:
-+ -
说明书:
目录价¥1980

Rabbit Polyclonal Antibody to TYROBP
Description |
---|
TYROBP encodes a transmembrane signaling polypeptide which contains an immunoreceptor tyrosine-based activation motif (ITAM) in its cytoplasmic domain. The encoded protein may associate with the killer-cell inhibitory receptor (KIR) family of membrane glycoproteins and may act as an activating signal transduction element. This protein may bind zeta-chain (TCR) associated protein kinase 70kDa (ZAP-70) and spleen tyrosine kinase (SYK) and play a role in signal transduction, bone modeling, brain myelination, and inflammation. Mutations within this gene have been associated with polycystic lipomembranous osteodysplasia with sclerosing leukoencephalopathy (PLOSL), also known as Nasu-Hakola disease. Its putative receptor, triggering receptor expressed on myeloid cells 2 (TREM2), also causes PLOSL. |
Specification |
|
---|---|
Aliases | TYRO protein tyrosine kinase-binding protein, DNAX-activation protein 12, Killer-activating receptor-associated protein, KAR-associated protein, TYROBP, DAP12, KARAP |
Entrez GeneID | 7305 |
Swissprot | O43914 |
WB Predicted band size | 12.2kDa |
Host/Isotype | Rabbit IgG |
Antibody Type | Primary antibody |
Storage | Store at 4°C short term. Aliquot and store at -20°C long term. Avoid freeze/thaw cycles. |
Species Reactivity | Human |
Immunogen | This TYROBP antibody is generated from rabbits immunized with a KLH conjugated synthetic peptide between 85-113 amino acids from the C-terminal region of human TYROBP. |
Formulation | Purified antibody in PBS with 0.05% sodium azide. |
Application |
|
---|---|
WB | 1/1000 |
IHC | 1/100-1/500 |
FCM | 1/10-1/50 |
Product Image
- Western blot analysis of TYROBP Antibody (C-term) (Cat. #P30578) in HepG2 cell line lysates (35ug/lane). TYROBP (arrow) was detected using the purified Pab.
- TYROBP Antibody (C-term) (Cat. #P30578) flow cytometric analysis of HepG2 cells (right histogram) compared to a negative control cell (left histogram).FITC-conjugated goat-anti-rabbit secondary antibodies were used for the analysis.
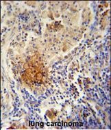
- TYROBP Antibody (C-term) (Cat. #P30578) immunohistochemistry analysis in formalin fixed and paraffin embedded human lung carcinoma followed by peroxidase conjugation of the secondary antibody and DAB staining. This data demonstrates the use of the TYROBP Antibody (C-term) for immunohistochemistry. Clinical relevance has not been evaluated.
For Reseach Only
Application Key:WB - Western Blot | IHC - Immunohistochemistry | ICC - Immunocytochemistry | FCM - Flow Cytometry | ELISA - Enzyme-linked Immunosorbent Assay | IP - Immunoprecipitation
#P30578

相关产品


