提醒成功

搜索
Rabbit Polyclonal Antibody to HIST1H2AL
-
货号:
P30576 -
别名:
Histone H2A type 1, H2A1, Histone H2A/p, HIST1H2AG, H2AFP -
应用:
WB,IHC-P,FCM -
反应种属:
Human -
抗体类型:
Primary antibody -
Swissprot:
P0C0S8 -
规格:
-
数量:
-+ -
说明书:
目录价¥1980

Rabbit Polyclonal Antibody to HIST1H2AL
Description |
---|
Histones are basic nuclear proteins that are responsible for the nucleosome structure of the chromosomal fiber in eukaryotes. Two molecules of each of the four core histones (H2A, H2B, H3, and H4) form an octamer, around which approximately 146 bp of DNA is wrapped in repeating units, called nucleosomes. The linker histone, H1, interacts with linker DNA between nucleosomes and functions in the compaction of chromatin into higher order structures. This gene is intronless and encodes a member of the histone H2A family. Transcripts from this gene lack polyA tails but instead contain a palindromic termination element. This gene is found in the small histone gene cluster on chromosome 6p22-p21.3. |
Specification |
|
---|---|
Aliases | Histone H2A type 1, H2A1, Histone H2A/p, HIST1H2AG, H2AFP |
Entrez GeneID | 8329;8330;8332;8336;8969 |
Swissprot | P0C0S8 |
WB Predicted band size | 14.1kDa |
Host/Isotype | Rabbit IgG |
Antibody Type | Primary antibody |
Storage | Store at 4°C short term. Aliquot and store at -20°C long term. Avoid freeze/thaw cycles. |
Species Reactivity | Human |
Immunogen | This HIST1H2AL antibody is generated from rabbits immunized with a KLH conjugated synthetic peptide between 103-130 amino acids from the C-terminal region of human HIST1H2AL. |
Formulation | Purified antibody in PBS with 0.05% sodium azide. |
Application |
|
---|---|
WB | 1/1000 |
IHC | 1/100-1/500 |
FCM | 1/10-1/50 |
Product Image
- HIST1H2AL Antibody (C-term) (Cat. #P30576) western blot analysis in HL-60,HepG2,K562,CEM,MCF-7 cell line lysates (35ug/lane).This demonstrates the HIST1H2AL antibody detected the HIST1H2AL protein (arrow).
- HIST1H2AL Antibody (C-term) (Cat. #P30576) flow cytometric analysis of HepG2 cells (right histogram) compared to a negative control cell (left histogram).FITC-conjugated goat-anti-rabbit secondary antibodies were used for the analysis.
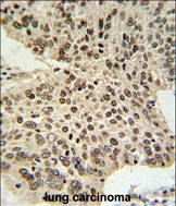
- HIST1H2AL Antibody (C-term) (Cat. #P30576) IHC analysis in formalin fixed and paraffin embedded human lung carcinoma followed by peroxidase conjugation of the secondary antibody and DAB staining. This data demonstrates the use of the HIST1H2AL Antibody (C-term) for immunohistochemistry. Clinical relevance has not been evaluated.
For Reseach Only
Application Key:WB - Western Blot | IHC - Immunohistochemistry | ICC - Immunocytochemistry | FCM - Flow Cytometry | ELISA - Enzyme-linked Immunosorbent Assay | IP - Immunoprecipitation
#P30576

相关产品


