提醒成功

搜索
Rabbit Polyclonal Antibody to DDO
-
货号:
P30566 -
别名:
D-aspartate oxidase, DASOX, DDO, DDO -
应用:
WB,IHC-P -
反应种属:
Human, Mouse -
抗体类型:
Primary antibody -
Swissprot:
Q99489 -
规格:
-
数量:
-+ -
说明书:
目录价¥1980

Rabbit Polyclonal Antibody to DDO
Description |
---|
DDO is a peroxisomal flavoprotein that catalyzes the oxidative deamination of D-aspartate and N-methyl D-aspartate. Flavin adenine dinucleotide or 6-hydroxyflavin adenine dinucleotide can serve as the cofactor in this reaction. |
Specification |
|
---|---|
Aliases | D-aspartate oxidase, DASOX, DDO, DDO |
Entrez GeneID | 8528 |
Swissprot | Q99489 |
WB Predicted band size | 37.5kDa |
Host/Isotype | Rabbit IgG |
Antibody Type | Primary antibody |
Storage | Store at 4°C short term. Aliquot and store at -20°C long term. Avoid freeze/thaw cycles. |
Species Reactivity | Human, Mouse |
Immunogen | This DDO antibody is generated from rabbits immunized with a KLH conjugated synthetic peptide between 102-130 amino acids from the Central region of human DDO. |
Formulation | Purified antibody in PBS with 0.05% sodium azide. |
Application |
|
---|---|
WB | 1/1000 |
IHC | 1/100-1/500 |
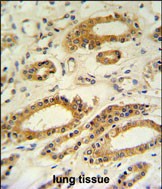
Product Image
- Western blot analysis of DDO Antibody (Center) (Cat. #P30566) in NCI-H292 cell line lysates (35ug/lane). DDO (arrow) was detected using the purified Pab.
- Western blot analysis of DDO Antibody (Center) (Cat. #P30566) in mouse brain tissue lysates (35ug/lane). DDO (arrow) was detected using the purified Pab.
- DDO Antibody (Center) (Cat. #P30566) IHC analysis in formalin fixed and paraffin embedded lung tissue followed by peroxidase conjugation of the secondary antibody and DAB staining. This data demonstrates the use of the DDO Antibody (Center) for immunohistochemistry. Clinical relevance has not been evaluated.
For Reseach Only
Application Key:WB - Western Blot | IHC - Immunohistochemistry | ICC - Immunocytochemistry | FCM - Flow Cytometry | ELISA - Enzyme-linked Immunosorbent Assay | IP - Immunoprecipitation
#P30566

相关产品


