提醒成功

搜索
Rabbit Polyclonal Antibody to IFM2 (N-term)
-
货号:
P30563 -
别名:
Interferon-induced transmembrane protein 2, Dispanin subfamily A member 2c, DSPA2c, Interferon-inducible protein 1-8D, IFITM2 -
应用:
WB,IHC-P -
反应种属:
Human -
抗体类型:
Primary antibody -
Swissprot:
Q01629 -
规格:
-
数量:
-+ -
说明书:
目录价¥1980

Rabbit Polyclonal Antibody to IFM2 (N-term)
Specification |
|
---|---|
Aliases | Interferon-induced transmembrane protein 2, Dispanin subfamily A member 2c, DSPA2c, Interferon-inducible protein 1-8D, IFITM2 |
Entrez GeneID | 10581 |
Swissprot | Q01629 |
WB Predicted band size | 14.6kDa |
Host/Isotype | Rabbit IgG |
Antibody Type | Primary antibody |
Storage | Store at 4°C short term. Aliquot and store at -20°C long term. Avoid freeze/thaw cycles. |
Species Reactivity | Human |
Immunogen | This IFM2 antibody is generated from rabbits immunized with a KLH conjugated synthetic peptide between 1-30 amino acids from the N-terminal region of human IFM2. |
Formulation | Purified antibody in PBS with 0.05% sodium azide. |
Application |
|
---|---|
WB | 1/1000 |
IHC | 1/100-1/500 |
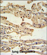
Product Image
- Western blot analysis of IFM2 Antibody (N-term) (Cat. #P30563) in NCI-H460 cell line lysates (35ug/lane). IFM2 (arrow) was detected using the purified Pab.
- IFM2 Antibody (N-term) (Cat. #P30563) IHC analysis in formalin fixed and paraffin embedded lung carcinoma followed by peroxidase conjugation of the secondary antibody and DAB staining. This data demonstrates the use of the IFM2 Antibody (N-term) for immunohistochemistry. Clinical relevance has not been evaluated.
For Reseach Only
Application Key:WB - Western Blot | IHC - Immunohistochemistry | ICC - Immunocytochemistry | FCM - Flow Cytometry | ELISA - Enzyme-linked Immunosorbent Assay | IP - Immunoprecipitation
#P30563

相关产品


