提醒成功

搜索
Rabbit Polyclonal Antibody to ANKFY1
-
货号:
P30559 -
别名:
Rabankyrin-5, Rank-5, Ankyrin repeat and FYVE domain-containing protein 1, Ankyrin repeats hooked to a zinc finger motif, ANKFY1, ANKHZN, KIAA1255 -
应用:
WB,IHC-P,FCM -
反应种属:
Human -
抗体类型:
Primary antibody -
Swissprot:
Q9P2R3 -
规格:
-
数量:
-+ -
说明书:
目录价¥1980

Rabbit Polyclonal Antibody to ANKFY1
Description |
---|
ANKFY1 encodes a cytoplasmic protein that contains a coiled-coil structure and a BTB/POZ domain at its N-terminus, ankyrin repeats in the middle portion, and a FYVE-finger motif at its C-terminus. This protein belongs to a subgroup of double zinc finger proteins which may be involved in vesicle or protein transport. |
Specification |
|
---|---|
Aliases | Rabankyrin-5, Rank-5, Ankyrin repeat and FYVE domain-containing protein 1, Ankyrin repeats hooked to a zinc finger motif, ANKFY1, ANKHZN, KIAA1255 |
Entrez GeneID | 51479 |
Swissprot | Q9P2R3 |
WB Predicted band size | 128.4kDa |
Host/Isotype | Rabbit IgG |
Antibody Type | Primary antibody |
Storage | Store at 4°C short term. Aliquot and store at -20°C long term. Avoid freeze/thaw cycles. |
Species Reactivity | Human |
Immunogen | This ANKFY1 antibody is generated from rabbits immunized with a KLH conjugated synthetic peptide between 436-465 amino acids from the C-terminal region of human ANKFY1. |
Formulation | Purified antibody in PBS with 0.05% sodium azide. |
Application |
|
---|---|
WB | 1/1000 |
IHC | 1/100-1/500 |
FCM | 1/10-1/50 |
Product Image
- ANKFY1 Antibody (C-term) (Cat. #P30559) western blot analysis in MDA-MB435,CEM,MCF-7,Jurkat,Hela cell line lysates (35ug/lane).This demonstrates the ANKFY1 antibody detected the ANKFY1 protein (arrow).
- ANKFY1 Antibody (C-term) (Cat. #P30559) flow cytometric analysis of MDA-MB435 cells (right histogram) compared to a negative control cell (left histogram).FITC-conjugated goat-anti-rabbit secondary antibodies were used for the analysis.
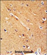
- ANKFY1 Antibody (C-term) (Cat. #P30559) immunohistochemistry analysis in formalin fixed and paraffin embedded human brain tissue followed by peroxidase conjugation of the secondary antibody and DAB staining. This data demonstrates the use of the ANKFY1 Antibody (C-term) for immunohistochemistry. Clinical relevance has not been evaluated.
For Reseach Only
Application Key:WB - Western Blot | IHC - Immunohistochemistry | ICC - Immunocytochemistry | FCM - Flow Cytometry | ELISA - Enzyme-linked Immunosorbent Assay | IP - Immunoprecipitation
#P30559

相关产品


