提醒成功

搜索
Rabbit Polyclonal Antibody to GPR17
-
货号:
P30554 -
别名:
Uracil nucleotide/cysteinyl leukotriene receptor, UDP/CysLT receptor, G-protein coupled receptor 17, P2Y-like receptor, R12, GPR17 -
应用:
WB,IHC-P,FCM -
反应种属:
Human -
抗体类型:
Primary antibody -
Swissprot:
Q13304 -
规格:
-
数量:
-+ -
说明书:
目录价¥1980

Rabbit Polyclonal Antibody to GPR17
Description |
---|
Members of the G protein coupled receptor (GPCR) superfamily contain 7 transmembrane domains and transduce extracellular signals through heterotrimeric G proteins. The organization of the GPR17 gene differs from that of many other GPCRs in that the open reading frame is distributed on 2 exons; an additional exon contains the 5 prime untranslated region. Human GPR17 is expressed as 2.3 and 6.3 kb mRNAs exclusively in brain. The 2 transcripts appear to represent alternatively polyadenylated variants. Based on protein sequence homology and the conservation of certain key residues, GPR17 appears to be closely related to the P2Y family of GPCRs. There are two nemed isoforms. |
Specification |
|
---|---|
Aliases | Uracil nucleotide/cysteinyl leukotriene receptor, UDP/CysLT receptor, G-protein coupled receptor 17, P2Y-like receptor, R12, GPR17 |
Entrez GeneID | 2840 |
Swissprot | Q13304 |
WB Predicted band size | 41.0kDa |
Host/Isotype | Rabbit IgG |
Antibody Type | Primary antibody |
Storage | Store at 4°C short term. Aliquot and store at -20°C long term. Avoid freeze/thaw cycles. |
Species Reactivity | Human |
Immunogen | This GPR17 antibody is generated from rabbits immunized with a KLH conjugated synthetic peptide between 230-258 amino acids from the Central region of human GPR17. |
Formulation | Purified antibody in PBS with 0.05% sodium azide. |
Application |
|
---|---|
WB | 1/1000 |
IHC | 1/100-1/500 |
FCM | 1/10-1/50 |
Product Image
- Western blot analysis of GPR17 Antibody (Center) (Cat. #P30554) in MDA-MB435 cell line lysates (35ug/lane). GPR17 (arrow) was detected using the purified Pab.
- GPR17 Antibody (Center) (Cat. #P30554) flow cytometric analysis of MDA-MB435 cells (bottom histogram) compared to a negative control cell (top histogram).FITC-conjugated goat-anti-rabbit secondary antibodies were used for the analysis.
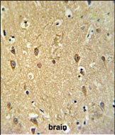
- GPR17 Antibody (Center) (Cat. #P30554) IHC analysis in formalin fixed and paraffin embedded brain tissue followed by peroxidase conjugation of the secondary antibody and DAB staining. This data demonstrates the use of the GPR17 Antibody (Center) for immunohistochemistry. Clinical relevance has not been evaluated.
For Reseach Only
Application Key:WB - Western Blot | IHC - Immunohistochemistry | ICC - Immunocytochemistry | FCM - Flow Cytometry | ELISA - Enzyme-linked Immunosorbent Assay | IP - Immunoprecipitation
#P30554

相关产品


