提醒成功

搜索
Rabbit Polyclonal Antibody to LMBR1L
-
货号:
P30544 -
别名:
Protein LMBR1L, Limb region 1 protein homolog-like, Lipocalin-1-interacting membrane receptor, Lipocalin-interacting membrane receptor, LMBR1L, KIAA1174, LIMR -
应用:
WB,IHC-P,FCM -
反应种属:
Human -
抗体类型:
Primary antibody -
Swissprot:
Q6UX01 -
规格:
-
数量:
-+ -
说明书:
目录价¥1980

Rabbit Polyclonal Antibody to LMBR1L
Specification |
|
---|---|
Aliases | Protein LMBR1L, Limb region 1 protein homolog-like, Lipocalin-1-interacting membrane receptor, Lipocalin-interacting membrane receptor, LMBR1L, KIAA1174, LIMR |
Entrez GeneID | 55716 |
Swissprot | Q6UX01 |
WB Predicted band size | 55.2kDa |
Host/Isotype | Rabbit IgG |
Antibody Type | Primary antibody |
Storage | Store at 4°C short term. Aliquot and store at -20°C long term. Avoid freeze/thaw cycles. |
Species Reactivity | Human |
Immunogen | This LMBR1L antibody is generated from rabbits immunized with a KLH conjugated synthetic peptide between 462-489 amino acids from the C-terminal region of human LMBR1L. |
Formulation | Purified antibody in PBS with 0.05% sodium azide. |
Application |
|
---|---|
WB | 1/1000 |
IHC | 1/100-1/500 |
FCM | 1/10-1/50 |
Product Image
- Western blot analysis of LMBR1L Antibody (C-term) (Cat. #P30544) in 293 cell line lysates (35ug/lane). LMBR1L (arrow) was detected using the purified Pab.
- LMBR1L Antibody (C-term) (Cat. #P30544) flow cytometric analysis of 293 cells (right histogram) compared to a negative control cell (left histogram).FITC-conjugated goat-anti-rabbit secondary antibodies were used for the analysis.
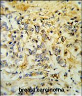
- LMBR1L Antibody (C-term) (Cat. #P30544) IHC analysis in formalin fixed and paraffin embedded breast carcinoma followed by peroxidase conjugation of the secondary antibody and DAB staining. This data demonstrates the use of the LMBR1L Antibody (C-term) for immunohistochemistry. Clinical relevance has not been evaluated.
For Reseach Only
Application Key:WB - Western Blot | IHC - Immunohistochemistry | ICC - Immunocytochemistry | FCM - Flow Cytometry | ELISA - Enzyme-linked Immunosorbent Assay | IP - Immunoprecipitation
#P30544

相关产品


