提醒成功

搜索
Rabbit Polyclonal Antibody to LRRTM1
-
货号:
P30534 -
别名:
Leucine-rich repeat transmembrane neuronal protein 1, LRRTM1 -
应用:
WB,IHC-P -
反应种属:
Human, Mouse -
抗体类型:
Primary antibody -
Swissprot:
Q86UE6 -
规格:
-
数量:
-+ -
说明书:
目录价¥1980

Rabbit Polyclonal Antibody to LRRTM1
Description |
---|
LRRTM1 may play a role during the development of specific forebrain structures by influencing neuronal differentiation and connectivity, with a possible role in intracellular trafficking within axons. |
Specification |
|
---|---|
Aliases | Leucine-rich repeat transmembrane neuronal protein 1, LRRTM1 |
Entrez GeneID | 347730 |
Swissprot | Q86UE6 |
WB Predicted band size | 58.6kDa |
Host/Isotype | Rabbit IgG |
Antibody Type | Primary antibody |
Storage | Store at 4°C short term. Aliquot and store at -20°C long term. Avoid freeze/thaw cycles. |
Species Reactivity | Human, Mouse |
Immunogen | This LRRTM1 antibody is generated from rabbits immunized with a KLH conjugated synthetic peptide between 88-117 amino acids from the Central region of human LRRTM1. |
Formulation | Purified antibody in PBS with 0.05% sodium azide. |
Application |
|
---|---|
WB | 1/1000 |
IHC | 1/100-1/500 |
Product Image
- Western blot analysis of LRRTM1 Antibody (Center) (Cat. #P30534) in mouse brain tissue lysates (35ug/lane). LRRTM1 (arrow) was detected using the purified Pab.
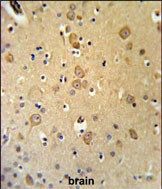
- LRRTM1 Antibody (Center) (Cat. #P30534) IHC analysis in formalin fixed and paraffin embedded brain tissue followed by peroxidase conjugation of the secondary antibody and DAB staining. This data demonstrates the use of the LRRTM1 Antibody (Center) for immunohistochemistry. Clinical relevance has not been evaluated.
For Reseach Only
Application Key:WB - Western Blot | IHC - Immunohistochemistry | ICC - Immunocytochemistry | FCM - Flow Cytometry | ELISA - Enzyme-linked Immunosorbent Assay | IP - Immunoprecipitation
#P30534

相关产品


