提醒成功

搜索
Rabbit Polyclonal Antibody to YIPF5 (N-term)
-
货号:
P30513 -
别名:
Protein YIPF5, Five-pass transmembrane protein localizing in the Golgi apparatus and the endoplasmic reticulum 5, Smooth muscle cell-associated protein 5, SMAP-5, YIP1 family member 5, YPT-interacting protein 1 A, YIPF5, FINGER5, YIP1A -
应用:
WB,IHC-P -
反应种属:
Human, Mouse -
抗体类型:
Primary antibody -
Swissprot:
Q969M3 -
规格:
-
数量:
-+ -
说明书:
目录价¥1980

Rabbit Polyclonal Antibody to YIPF5 (N-term)
Description |
---|
Plays a role in transport between endoplasmic reticulum and Golgi. |
Specification |
|
---|---|
Aliases | Protein YIPF5, Five-pass transmembrane protein localizing in the Golgi apparatus and the endoplasmic reticulum 5, Smooth muscle cell-associated protein 5, SMAP-5, YIP1 family member 5, YPT-interacting protein 1 A, YIPF5, FINGER5, YIP1A |
Entrez GeneID | 81555 |
Swissprot | Q969M3 |
WB Predicted band size | 28.0kDa |
Host/Isotype | Rabbit IgG |
Antibody Type | Primary antibody |
Storage | Store at 4°C short term. Aliquot and store at -20°C long term. Avoid freeze/thaw cycles. |
Species Reactivity | Human, Mouse |
Immunogen | This YIPF5 antibody is generated from rabbits immunized with a KLH conjugated synthetic peptide between 21-49 amino acids from the N-terminal region of human YIPF5. |
Formulation | Purified antibody in PBS with 0.05% sodium azide. |
Application |
|
---|---|
WB | 1/1000 |
IHC | 1/100-1/500 |
Product Image
- Western blot analysis of YIPF5 Antibody (N-term) (Cat. #P30513) in MDA-MB231 cell line lysates (35ug/lane). YIPF5 (arrow) was detected using the purified Pab;
- Western blot analysis of YIPF5 Antibody (N-term) (Cat. #P30513) in CHO cell line lysates (35ug/lane). YIPF5 (arrow) was detected using the purified Pab.
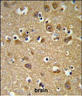
- YIPF5 Antibody (N-term) (Cat. #P30513) IHC analysis in formalin fixed and paraffin embedded brain tissue followed by peroxidase conjugation of the secondary antibody and DAB staining. This data demonstrates the use of the YIPF5 Antibody (N-term) for immunohistochemistry. Clinical relevance has not been evaluated.
For Reseach Only
Application Key:WB - Western Blot | IHC - Immunohistochemistry | ICC - Immunocytochemistry | FCM - Flow Cytometry | ELISA - Enzyme-linked Immunosorbent Assay | IP - Immunoprecipitation
#P30513

相关产品


