提醒成功

搜索
Rabbit Polyclonal Antibody to NXPH1 (N-term)
-
货号:
P30511 -
别名:
Neurexophilin-1, NXPH1, NPH1 -
应用:
WB,IHC-P,FCM -
反应种属:
Human, Mouse -
抗体类型:
Primary antibody -
Swissprot:
P58417 -
规格:
-
数量:
-+ -
说明书:
目录价¥1980

Rabbit Polyclonal Antibody to NXPH1 (N-term)
Description |
---|
NXPH1 is a secreted protein with a variable N-terminal domain, a highly conserved, N-glycosylated central domain, a short linker region, and a cysteine-rich C-terminal domain. This protein forms a very tight complex with alpha neurexins, a group of proteins that promote adhesion between dendrites and axons. |
Specification |
|
---|---|
Aliases | Neurexophilin-1, NXPH1, NPH1 |
Entrez GeneID | 30010 |
Swissprot | P58417 |
WB Predicted band size | 31.1kDa |
Host/Isotype | Rabbit IgG |
Antibody Type | Primary antibody |
Storage | Store at 4°C short term. Aliquot and store at -20°C long term. Avoid freeze/thaw cycles. |
Species Reactivity | Human, Mouse |
Immunogen | This NXPH1 antibody is generated from rabbits immunized with a KLH conjugated synthetic peptide between 56-85 amino acids from the N-terminal region of human NXPH1. |
Formulation | Purified antibody in PBS with 0.05% sodium azide. |
Application |
|
---|---|
WB | 1/1000 |
IHC | 1/100-1/500 |
FCM | 1/10-1/50 |
Product Image
- NXPH1 Antibody (N-term) (Cat. #P30511) western blot analysis in mouse cerebellum,brain tissue lysates (35ug/lane).This demonstrates the NXPH1 antibody detected the NXPH1 protein (arrow).
- NXPH1 Antibody (N-term) (Cat. #P30511) flow cytometric analysis of 293 cells (right histogram) compared to a negative control cell (left histogram).FITC-conjugated goat-anti-rabbit secondary antibodies were used for the analysis.
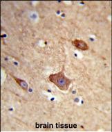
- Formalin-fixed and paraffin-embedded human brain tissue reacted with NXPH1 Antibody (N-term), which was peroxidase-conjugated to the secondary antibody, followed by DAB staining. This data demonstrates the use of this antibody for immunohistochemistry; clinical relevance has not been evaluated.
For Reseach Only
Application Key:WB - Western Blot | IHC - Immunohistochemistry | ICC - Immunocytochemistry | FCM - Flow Cytometry | ELISA - Enzyme-linked Immunosorbent Assay | IP - Immunoprecipitation
#P30511

相关产品


