提醒成功

搜索
Rabbit Polyclonal Antibody to MAT2B (N-term)
-
货号:
P30510 -
别名:
Methionine adenosyltransferase 2 subunit beta, Methionine adenosyltransferase II beta, MAT II beta, Putative dTDP-4-keto-6-deoxy-D-glucose 4-reductase, MAT2B, TGR -
应用:
WB,IHC-P -
反应种属:
Human -
抗体类型:
Primary antibody -
Swissprot:
Q9NZL9 -
规格:
-
数量:
-+ -
说明书:
目录价¥1980

Rabbit Polyclonal Antibody to MAT2B (N-term)
Description |
---|
MAT2B belongs to the methionine adenosyltransferase (MAT) family. MAT catalyzes the biosynthesis of S-adenosylmethionine from methionine and ATP. This protein is the regulatory beta subunit of MAT. |
Specification |
|
---|---|
Aliases | Methionine adenosyltransferase 2 subunit beta, Methionine adenosyltransferase II beta, MAT II beta, Putative dTDP-4-keto-6-deoxy-D-glucose 4-reductase, MAT2B, TGR |
Entrez GeneID | 27430 |
Swissprot | Q9NZL9 |
WB Predicted band size | 37.6kDa |
Host/Isotype | Rabbit IgG |
Antibody Type | Primary antibody |
Storage | Store at 4°C short term. Aliquot and store at -20°C long term. Avoid freeze/thaw cycles. |
Species Reactivity | Human |
Immunogen | This MAT2B antibody is generated from rabbits immunized with a KLH conjugated synthetic peptide between 80-107 amino acids from the N-terminal region of human MAT2B. |
Formulation | Purified antibody in PBS with 0.05% sodium azide. |
Application |
|
---|---|
WB | 1/1000 |
IHC | 1/100-1/500 |
Product Image
- Western blot analysis of MAT2B Antibody (N-term) (Cat. #P30510) in293,MDA-MB231 cell line lysates (35ug/lane). MAT2B (arrow) was detected using the purified Pab.
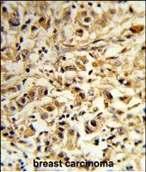
- Formalin-fixed and paraffin-embedded human breast carcinoma reacted with MAT2B Antibody (N-term), which was peroxidase-conjugated to the secondary antibody, followed by DAB staining. This data demonstrates the use of this antibody for immunohistochemistry; clinical relevance has not been evaluated.
For Reseach Only
Application Key:WB - Western Blot | IHC - Immunohistochemistry | ICC - Immunocytochemistry | FCM - Flow Cytometry | ELISA - Enzyme-linked Immunosorbent Assay | IP - Immunoprecipitation
#P30510

相关产品


