提醒成功

搜索
Rabbit Polyclonal Antibody to RPL31
-
货号:
P30509 -
别名:
60S ribosomal protein L31, RPL31 -
应用:
WB,IHC-P,FCM -
反应种属:
Human -
抗体类型:
Primary antibody -
Swissprot:
P62899 -
规格:
-
数量:
-+ -
说明书:
目录价¥1980

Rabbit Polyclonal Antibody to RPL31
Description |
---|
Ribosomes, the organelles that catalyze protein synthesis, consist of a small 40S subunit and a large 60S subunit. Together these subunits are composed of 4 RNA species and approximately 80 structurally distinct proteins. RPL31 is a ribosomal protein that is a component of the 60S subunit. The protein belongs to the L31E family of ribosomal proteins. It is located in the cytoplasm. |
Specification |
|
---|---|
Aliases | 60S ribosomal protein L31, RPL31 |
Entrez GeneID | 6160 |
Swissprot | P62899 |
WB Predicted band size | 14.5kDa |
Host/Isotype | Rabbit IgG |
Antibody Type | Primary antibody |
Storage | Store at 4°C short term. Aliquot and store at -20°C long term. Avoid freeze/thaw cycles. |
Species Reactivity | Human |
Immunogen | This RPL31 antibody is generated from rabbits immunized with a KLH conjugated synthetic peptide between 24-51 amino acids from the Central region of human RPL31. |
Formulation | Purified antibody in PBS with 0.05% sodium azide. |
Application |
|
---|---|
WB | 1/1000 |
IHC | 1/100-1/500 |
FCM | 1/10-1/50 |
Product Image
- Western blot analysis of RPL31 Antibody (Center) (Cat. #P30509) in Hela cell line lysates (35ug/lane).RPL31 (arrow) was detected using the purified Pab.
- RPL31 Antibody (Center) (Cat. #P30509) flow cytometric analysis of Hela cells (right histogram) compared to a negative control cell (left histogram).FITC-conjugated goat-anti-rabbit secondary antibodies were used for the analysis.
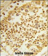
- Formalin-fixed and paraffin-embedded human testis tissue reacted with RPL31 Antibody (Center), which was peroxidase-conjugated to the secondary antibody, followed by DAB staining. This data demonstrates the use of this antibody for immunohistochemistry; clinical relevance has not been evaluated.
For Reseach Only
Application Key:WB - Western Blot | IHC - Immunohistochemistry | ICC - Immunocytochemistry | FCM - Flow Cytometry | ELISA - Enzyme-linked Immunosorbent Assay | IP - Immunoprecipitation
#P30509

相关产品


