提醒成功

搜索
Rabbit Polyclonal Antibody to CHMP4B (N-term)
-
货号:
P30507 -
别名:
Charged multivesicular body protein 4b, Chromatin-modifying protein 4b, CHMP4b, SNF7 homolog associated with Alix 1, SNF7-2, hSnf7-2, Vacuolar protein sorting-associated protein 32-2, Vps32-2, hVps32-2, CHMP4B, C20orf178, SHAX1 -
应用:
WB,IHC-P,FCM -
反应种属:
Human -
抗体类型:
Primary antibody -
Swissprot:
Q9H444 -
规格:
-
数量:
-+ -
说明书:
目录价¥1980

Rabbit Polyclonal Antibody to CHMP4B (N-term)
Description |
---|
CHMP4B is a member of the chromatin-modifying protein/charged multivesicular body protein (CHMP) protein family. The protein is part of the endosomal sorting complex required for transport (ESCRT) complex III (ESCRT-III), which functions in the sorting of endocytosed cell-surface receptors into multivesicular endosomes. The ESCRT machinery also functions in the final abscisson stage of cytokinesis and in the budding of enveloped viruses such as HIV-1. The three proteins of the CHMP4 subfamily interact with programmed cell death 6 interacting protein (PDCD6IP, also known as ALIX), which also functions in the ESCRT pathway. The CHMP4 proteins assemble into membrane-attached 5-nm filaments that form circular scaffolds and promote or stabilize outward budding. These polymers are proposed to help generate the luminal vesicles of multivesicular bodies. |
Specification |
|
---|---|
Aliases | Charged multivesicular body protein 4b, Chromatin-modifying protein 4b, CHMP4b, SNF7 homolog associated with Alix 1, SNF7-2, hSnf7-2, Vacuolar protein sorting-associated protein 32-2, Vps32-2, hVps32-2, CHMP4B, C20orf178, SHAX1 |
Entrez GeneID | 128866 |
Swissprot | Q9H444 |
WB Predicted band size | 25.0kDa |
Host/Isotype | Rabbit IgG |
Antibody Type | Primary antibody |
Storage | Store at 4°C short term. Aliquot and store at -20°C long term. Avoid freeze/thaw cycles. |
Species Reactivity | Human |
Immunogen | This CHMP4B antibody is generated from rabbits immunized with a KLH conjugated synthetic peptide between 51-79 amino acids from the N-terminal region of human CHMP4B. |
Formulation | Purified antibody in PBS with 0.05% sodium azide. |
Application |
|
---|---|
WB | 1/1000 |
IHC | 1/100-1/500 |
FCM | 1/10-1/50 |
Product Image
- Western blot analysis of CHMP4B Antibody (N-term) (Cat. #P30507) in SK-BR-3 cell line lysates (35ug/lane).CHMP4B (arrow) was detected using the purified Pab.
- CHMP4B Antibody (N-term) (Cat. #P30507) flow cytometric analysis of MCF-7 cells (bottom histogram) compared to a negative control cell (top histogram).FITC-conjugated goat-anti-rabbit secondary antibodies were used for the analysis.
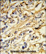
- Formalin-fixed and paraffin-embedded human breast carcinoma reacted with CHMP4B Antibody (N-term), which was peroxidase-conjugated to the secondary antibody, followed by DAB staining. This data demonstrates the use of this antibody for immunohistochemistry; clinical relevance has not been evaluated.
For Reseach Only
Application Key:WB - Western Blot | IHC - Immunohistochemistry | ICC - Immunocytochemistry | FCM - Flow Cytometry | ELISA - Enzyme-linked Immunosorbent Assay | IP - Immunoprecipitation
#P30507

相关产品


