提醒成功

搜索
Rabbit Polyclonal Antibody to TAC2N (N-term)
-
货号:
P30498 -
别名:
Tandem C2 domains nuclear protein, Membrane targeting tandem C2 domain-containing protein 1, Tandem C2 protein in nucleus, Tac2-N, TC2N, C14orf47, MTAC2D1 -
应用:
WB,IHC-P -
反应种属:
Human, Mouse -
抗体类型:
Primary antibody -
Swissprot:
Q8N9U0 -
规格:
-
数量:
-+ -
说明书:
目录价¥1980

Rabbit Polyclonal Antibody to TAC2N (N-term)
Specification |
|
---|---|
Aliases | Tandem C2 domains nuclear protein, Membrane targeting tandem C2 domain-containing protein 1, Tandem C2 protein in nucleus, Tac2-N, TC2N, C14orf47, MTAC2D1 |
Entrez GeneID | 123036 |
Swissprot | Q8N9U0 |
WB Predicted band size | 55.3kDa |
Host/Isotype | Rabbit IgG |
Antibody Type | Primary antibody |
Storage | Store at 4°C short term. Aliquot and store at -20°C long term. Avoid freeze/thaw cycles. |
Species Reactivity | Human, Mouse |
Immunogen | This TAC2N antibody is generated from rabbits immunized with a KLH conjugated synthetic peptide between 3-30 amino acids from the N-terminal region of human TAC2N. |
Formulation | Purified antibody in PBS with 0.05% sodium azide. |
Application |
|
---|---|
WB | 1/1000 |
IHC | 1/100-1/500 |
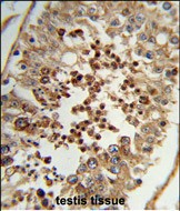
Product Image
- Western blot analysis of TAC2N Antibody (N-term) (Cat. #P30498) in mouse NIH-3T3 cell line lysates (35ug/lane). TAC2N (arrow) was detected using the purified Pab.
- Formalin-fixed and paraffin-embedded human testis tissue reacted with TAC2N Antibody (N-term), which was peroxidase-conjugated to the secondary antibody, followed by DAB staining. This data demonstrates the use of this antibody for immunohistochemistry; clinical relevance has not been evaluated.
For Reseach Only
Application Key:WB - Western Blot | IHC - Immunohistochemistry | ICC - Immunocytochemistry | FCM - Flow Cytometry | ELISA - Enzyme-linked Immunosorbent Assay | IP - Immunoprecipitation
#P30498

相关产品


