提醒成功

搜索
Rabbit Polyclonal Antibody to DIAPH2
-
货号:
P30496 -
别名:
Protein diaphanous homolog 2, Diaphanous-related formin-2, DRF2, DIAPH2, DIA -
应用:
WB,IHC-P,FCM -
反应种属:
Human -
抗体类型:
Primary antibody -
Swissprot:
O60879 -
规格:
-
数量:
-+ -
说明书:
目录价¥1980

Rabbit Polyclonal Antibody to DIAPH2
Description |
---|
DIAPH2 belongs to the diaphanous subfamily of the formin homology family of proteins. This gene may play a role in the development and normal function of the ovaries. Defects in this protein have been linked to premature ovarian failure 2. |
Specification |
|
---|---|
Aliases | Protein diaphanous homolog 2, Diaphanous-related formin-2, DRF2, DIAPH2, DIA |
Entrez GeneID | 1730 |
Swissprot | O60879 |
WB Predicted band size | 125.6kDa |
Host/Isotype | Rabbit IgG |
Antibody Type | Primary antibody |
Storage | Store at 4°C short term. Aliquot and store at -20°C long term. Avoid freeze/thaw cycles. |
Species Reactivity | Human |
Immunogen | This DIAPH2 antibody is generated from rabbits immunized with a KLH conjugated synthetic peptide between 870-899 amino acids from the Central region of human DIAPH2. |
Formulation | Purified antibody in PBS with 0.05% sodium azide. |
Application |
|
---|---|
WB | 1/1000 |
IHC | 1/100-1/500 |
FCM | 1/10-1/50 |
Product Image
- Western blot analysis of DIAPH2 Antibody (Center) (Cat. #P30496) in 293, MDA-MB435 cell line lysates (35ug/lane). DIAPH2 (arrow) was detected using the purified Pab.
- DIAPH2 Antibody (Center) (Cat. #P30496) flow cytometric analysis of CEM cells (right histogram) compared to a negative control cell (left histogram).FITC-conjugated goat-anti-rabbit secondary antibodies were used for the analysis.
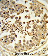
- Formalin-fixed and paraffin-embedded human testis tissue reacted with DIAPH2 Antibody (Center), which was peroxidase-conjugated to the secondary antibody, followed by DAB staining. This data demonstrates the use of this antibody for immunohistochemistry; clinical relevance has not been evaluated.
For Reseach Only
Application Key:WB - Western Blot | IHC - Immunohistochemistry | ICC - Immunocytochemistry | FCM - Flow Cytometry | ELISA - Enzyme-linked Immunosorbent Assay | IP - Immunoprecipitation
#P30496

相关产品


