提醒成功
搜索
Rabbit Polyclonal Antibody to COQ5
-
货号:
P30490 -
别名:
2-methoxy-6-polyprenyl-1,4-benzoquinol methylase, mitochondrial, Ubiquinone biosynthesis methyltransferase COQ5, COQ5 -
应用:
WB,IHC-P -
反应种属:
Human, Mouse -
抗体类型:
Primary antibody -
Swissprot:
Q5HYK3 -
规格:
-
数量:
-+ -
说明书:
目录价¥1980
Rabbit Polyclonal Antibody to COQ5
Specification |
|
|---|---|
| Aliases | 2-methoxy-6-polyprenyl-1,4-benzoquinol methylase, mitochondrial, Ubiquinone biosynthesis methyltransferase COQ5, COQ5 |
| Entrez GeneID | 84274 |
| Swissprot | Q5HYK3 |
| WB Predicted band size | 37.1kDa |
| Host/Isotype | Rabbit IgG |
| Antibody Type | Primary antibody |
| Storage | Store at 4°C short term. Aliquot and store at -20°C long term. Avoid freeze/thaw cycles. |
| Species Reactivity | Human, Mouse |
| Immunogen | This COQ5 antibody is generated from rabbits immunized with a KLH conjugated synthetic peptide between 213-241 amino acids from the Central region of human COQ5. |
| Formulation | Purified antibody in PBS with 0.05% sodium azide. |
Application |
|
|---|---|
| WB | 1/1000 |
| IHC | 1/100-1/500 |
Product Image
- Western blot analysis of COQ5 Antibody (Center) (Cat. #P30490) in mouse heart tissue lysates (35ug/lane). COQ5 (arrow) was detected using the purified Pab.
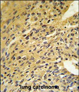
- COQ5 Antibody (Center) (Cat. #P30490) IHC analysis in formalin fixed and paraffin embedded human lung carcinoma followed by peroxidase conjugation of the secondary antibody and DAB staining. This data demonstrates the use of the COQ5 Antibody (Center) for immunohistochemistry. Clinical relevance has not been evaluated.
For Reseach Only
Application Key:WB - Western Blot | IHC - Immunohistochemistry | ICC - Immunocytochemistry | FCM - Flow Cytometry | ELISA - Enzyme-linked Immunosorbent Assay | IP - Immunoprecipitation
#P30490
相关产品

微信/QQ登录


首页
