提醒成功
搜索
Rabbit Polyclonal Antibody to SNRPD3
-
货号:
P30481 -
别名:
Small nuclear ribonucleoprotein Sm D3, Sm-D3, snRNP core protein D3, SNRPD3 -
应用:
WB,IHC-P,FCM -
反应种属:
Human, Mouse -
抗体类型:
Primary antibody -
Swissprot:
P62318 -
规格:
-
数量:
-+ -
说明书:
目录价¥1980
Rabbit Polyclonal Antibody to SNRPD3
Description |
|---|
The protein belongs to the small nuclear ribonucleoprotein core protein family. It is required for pre-mRNA splicing and small nuclear ribonucleoprotein biogenesis. |
Specification |
|
|---|---|
| Aliases | Small nuclear ribonucleoprotein Sm D3, Sm-D3, snRNP core protein D3, SNRPD3 |
| Entrez GeneID | 6634 |
| Swissprot | P62318 |
| WB Predicted band size | 13.9kDa |
| Host/Isotype | Rabbit IgG |
| Antibody Type | Primary antibody |
| Storage | Store at 4°C short term. Aliquot and store at -20°C long term. Avoid freeze/thaw cycles. |
| Species Reactivity | Human, Mouse |
| Immunogen | This SNRPD3 antibody is generated from rabbits immunized with a KLH conjugated synthetic peptide between 99-126 amino acids from the C-terminal region of human SNRPD3. |
| Formulation | Purified antibody in PBS with 0.05% sodium azide. |
Application |
|
|---|---|
| WB | 1/1000 |
| IHC | 1/100-1/500 |
| FCM | 1/10-1/50 |
Product Image
- Western blot analysis of SNRPD3 Antibody (C-term) (Cat. #P30481) in MCF-7, Jurkat cell line lysates (35ug/lane). SNRPD3 (arrow) was detected using the purified Pab.
- SNRPD3 Antibody (C-term) (Cat. #P30481) flow cytometric analysis of MCF-7 cells (bottom histogram) compared to a negative control cell (top histogram).FITC-conjugated goat-anti-rabbit secondary antibodies were used for the analysis.
- SNRPD3 Antibody (C-term) (Cat. #P30481) IHC analysis in formalin fixed and paraffin embedded human lung carcinoma followed by peroxidase conjugation of the secondary antibody and DAB staining. This data demonstrates the use of the SNRPD3 Antibody (C-term) for immunohistochemistry. Clinical relevance has not been evaluated.
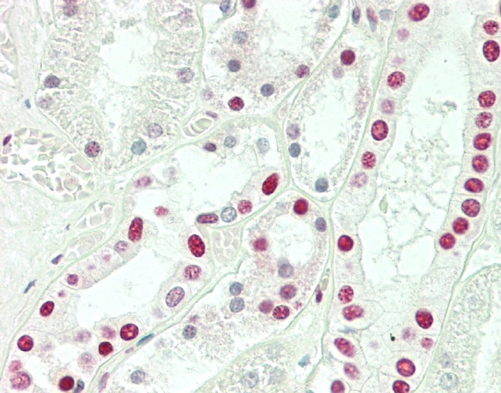
- Formalin-fixed and paraffin-embedded H.kidney tissue reacted with SNRPD3 Antibody (C-term) (Cat#P30481).
For Reseach Only
Application Key:WB - Western Blot | IHC - Immunohistochemistry | ICC - Immunocytochemistry | FCM - Flow Cytometry | ELISA - Enzyme-linked Immunosorbent Assay | IP - Immunoprecipitation
#P30481
相关产品

微信/QQ登录


首页
