提醒成功
搜索
Rabbit Polyclonal Antibody to ACTR5
-
货号:
P30477 -
别名:
Actin-related protein 5, hARP5, Sarcoma antigen NY-SAR-16, ACTR5, ARP5 -
应用:
WB,IHC-P -
反应种属:
Human, Hamster -
抗体类型:
Primary antibody -
Swissprot:
Q9H9F9 -
规格:
-
数量:
-+ -
说明书:
目录价¥1980
Rabbit Polyclonal Antibody to ACTR5
Description |
|---|
ACTR5 may be involved in transcription regulation via its interaction with the INO80 complex, a chromatin remodeling complex |
Specification |
|
|---|---|
| Aliases | Actin-related protein 5, hARP5, Sarcoma antigen NY-SAR-16, ACTR5, ARP5 |
| Entrez GeneID | 79913 |
| Swissprot | Q9H9F9 |
| WB Predicted band size | 68.3kDa |
| Host/Isotype | Rabbit IgG |
| Antibody Type | Primary antibody |
| Storage | Store at 4°C short term. Aliquot and store at -20°C long term. Avoid freeze/thaw cycles. |
| Species Reactivity | Human, Hamster |
| Immunogen | This ACTR5 antibody is generated from rabbits immunized with a KLH conjugated synthetic peptide between 539-568 amino acids from the C-terminal region of human ACTR5. |
| Formulation | Purified antibody in PBS with 0.05% sodium azide. |
Application |
|
|---|---|
| WB | 1/1000 |
| IHC | 1/100-1/500 |
Product Image
- Western blot analysis of ACTR5 Antibody (C-term) (Cat. #P30477) in CHO cell line lysates (35ug/lane). ACTR5 (arrow) was detected using the purified Pab.
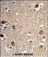
- Formalin-fixed and paraffin-embedded human brain tissue reacted with ACTR5 Antibody (C-term), which was peroxidase-conjugated to the secondary antibody, followed by DAB staining. This data demonstrates the use of this antibody for immunohistochemistry; clinical relevance has not been evaluated.
For Reseach Only
Application Key:WB - Western Blot | IHC - Immunohistochemistry | ICC - Immunocytochemistry | FCM - Flow Cytometry | ELISA - Enzyme-linked Immunosorbent Assay | IP - Immunoprecipitation
#P30477
相关产品

微信/QQ登录


首页
