提醒成功
搜索
Rabbit Polyclonal Antibody to ACCN1
-
货号:
P30475 -
别名:
Acid-sensing ion channel 2, ASIC2, Amiloride-sensitive brain sodium channel, Amiloride-sensitive cation channel 1, neuronal, Amiloride-sensitive cation channel neuronal 1, Brain sodium channel 1, BNC1, BNaC1, Mammalian degenerin homolog, ASIC2, ACCN, ACCN1, BNAC1, MDEG -
应用:
WB,IHC-P,FCM -
反应种属:
Human -
抗体类型:
Primary antibody -
Swissprot:
Q16515 -
规格:
-
数量:
-+ -
说明书:
目录价¥1980
Rabbit Polyclonal Antibody to ACCN1
Description |
|---|
ACCN1 encodes a member of the degenerin/epithelial sodium channel (DEG/ENaC) superfamily. The members of this family are amiloride-sensitive sodium channels that contain intracellular N and C termini, 2 hydrophobic transmembrane regions, and a large extracellular loop, which has many cysteine residues with conserved spacing. The member encoded by this protein may play a role in neurotransmission. In addition, a heteromeric association between this member and ACCN3 (variant 1) has been observed to co-assemble into proton-gated channels sensitive to gadolinium. |
Specification |
|
|---|---|
| Aliases | Acid-sensing ion channel 2, ASIC2, Amiloride-sensitive brain sodium channel, Amiloride-sensitive cation channel 1, neuronal, Amiloride-sensitive cation channel neuronal 1, Brain sodium channel 1, BNC1, BNaC1, Mammalian degenerin homolog, ASIC2, ACCN, ACCN1, BNAC1, MDEG |
| Entrez GeneID | 40 |
| Swissprot | Q16515 |
| WB Predicted band size | 57.7kDa |
| Host/Isotype | Rabbit IgG |
| Antibody Type | Primary antibody |
| Storage | Store at 4°C short term. Aliquot and store at -20°C long term. Avoid freeze/thaw cycles. |
| Species Reactivity | Human |
| Immunogen | This ACCN1 antibody is generated from rabbits immunized with a KLH conjugated synthetic peptide between 120-148 amino acids from the Central region of human ACCN1. |
| Formulation | Purified antibody in PBS with 0.05% sodium azide. |
Application |
|
|---|---|
| WB | 1/1000 |
| IHC | 1/100-1/500 |
| FCM | 1/10-1/50 |
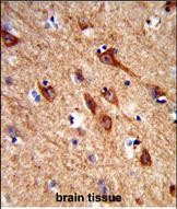
Product Image
- Western blot analysis of ACCN1 Antibody (Center) (Cat. #P30475) in NCI-H460 cell line lysates (35ug/lane). ACCN1 (arrow) was detected using the purified Pab.
- ACCN1 Antibody (Center) (Cat. #P30475) flow cytometric analysis of WiDr cells (right histogram) compared to a negative control cell (left histogram).FITC-conjugated goat-anti-rabbit secondary antibodies were used for the analysis.
- Formalin-fixed and paraffin-embedded human brain tissue reacted with ACCN1 Antibody (Center), which was peroxidase-conjugated to the secondary antibody, followed by DAB staining. This data demonstrates the use of this antibody for immunohistochemistry; clinical relevance has not been evaluated.
For Reseach Only
Application Key:WB - Western Blot | IHC - Immunohistochemistry | ICC - Immunocytochemistry | FCM - Flow Cytometry | ELISA - Enzyme-linked Immunosorbent Assay | IP - Immunoprecipitation
#P30475
相关产品

微信/QQ登录


首页
