提醒成功
搜索
Rabbit Polyclonal Antibody to ADH6
-
货号:
P30473 -
别名:
Alcohol dehydrogenase 6, ADH6 -
应用:
WB,IHC-P,FCM -
反应种属:
Human -
抗体类型:
Primary antibody -
Swissprot:
P28332 -
规格:
-
数量:
-+ -
说明书:
目录价¥1980
Rabbit Polyclonal Antibody to ADH6
Description |
|---|
ADH6 encodes class V alcohol dehydrogenase, which is a member of the alcohol dehydrogenase family. Members of this family metabolize a wide variety of substrates, including ethanol, retinol, other aliphatic alcohols, hydroxysteroids, and lipid peroxidation products. This protein is expressed in the stomach as well as in the liver, and it contains a glucocorticoid response element upstream of its 5' UTR, which is a steroid hormone receptor binding site. |
Specification |
|
|---|---|
| Aliases | Alcohol dehydrogenase 6, ADH6 |
| Entrez GeneID | 130 |
| Swissprot | P28332 |
| WB Predicted band size | 39.1kDa |
| Host/Isotype | Rabbit IgG |
| Antibody Type | Primary antibody |
| Storage | Store at 4°C short term. Aliquot and store at -20°C long term. Avoid freeze/thaw cycles. |
| Species Reactivity | Human |
| Immunogen | This ADH6 antibody is generated from rabbits immunized with a KLH conjugated synthetic peptide between 209-240 amino acids from the Central region of human ADH6. |
| Formulation | Purified antibody in PBS with 0.05% sodium azide,1%BSA and 50% glycerol.prepared by Saturated Ammonium Sulfate (SAS) . |
Application |
|
|---|---|
| WB | 1/1000 |
| IHC | 1/100-1/500 |
| FCM | 1/10-1/50 |
Product Image
- Western blot analysis of ADH6 Antibody (Center) (Cat. #P30473) in Hela cell line lysates (35ug/lane). ADH6 (arrow) was detected using the purified Pab.
- ADH6 Antibody (Center) (Cat. #P30473) flow cytometric analysis of Hela cells (bottom histogram) compared to a negative control cell (top histogram).FITC-conjugated goat-anti-rabbit secondary antibodies were used for the analysis.
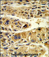
- Formalin-fixed and paraffin-embedded human hepatocarcinoma reacted with ADH6 Antibody (Center), which was peroxidase-conjugated to the secondary antibody, followed by DAB staining. This data demonstrates the use of this antibody for immunohistochemistry; clinical relevance has not been evaluated.
For Reseach Only
Application Key:WB - Western Blot | IHC - Immunohistochemistry | ICC - Immunocytochemistry | FCM - Flow Cytometry | ELISA - Enzyme-linked Immunosorbent Assay | IP - Immunoprecipitation
#P30473
相关产品

微信/QQ登录


首页
