提醒成功

搜索
Rabbit Polyclonal Antibody to KIR3DL3
-
货号:
P30465 -
别名:
Killer cell immunoglobulin-like receptor 3DL3, CD158 antigen-like family member Z, Killer cell inhibitory receptor 1, CD158z, KIR3DL3, CD158Z, KIR3DL7, KIRC1 -
应用:
WB,IHC-P,FCM -
反应种属:
Human -
抗体类型:
Primary antibody -
Swissprot:
Q8N743 -
规格:
-
数量:
-+ -
说明书:
目录价¥1980

Rabbit Polyclonal Antibody to KIR3DL3
Description |
---|
KIR3DL3 is transmembrane glycoproteins expressed by natural killer cells and subsets of T cells. This protein are polymorphic and highly homologous and they are found in a cluster on chromosome 19q13.4 within the 1 Mb leukocyte receptor complex (LRC). |
Specification |
|
---|---|
Aliases | Killer cell immunoglobulin-like receptor 3DL3, CD158 antigen-like family member Z, Killer cell inhibitory receptor 1, CD158z, KIR3DL3, CD158Z, KIR3DL7, KIRC1 |
Swissprot | Q8N743 |
WB Predicted band size | 44.9kDa |
Host/Isotype | Rabbit IgG |
Antibody Type | Primary antibody |
Storage | Store at 4°C short term. Aliquot and store at -20°C long term. Avoid freeze/thaw cycles. |
Species Reactivity | Human |
Immunogen | This KIR3DL3 antibody is generated from rabbits immunized with a KLH conjugated synthetic peptide between 132-158 amino acids from the Central region of human KIR3DL3. |
Formulation | Purified antibody in PBS with 0.05% sodium azide. |
Application |
|
---|---|
WB | 1/1000 |
IHC | 1/100-1/500 |
FCM | 1/10-1/50 |
Product Image
- Western blot analysis of KIR3DL3 Antibody (Center) (Cat. #P30465) in K562 cell line lysates (35ug/lane). KIR3DL3 (arrow) was detected using the purified Pab.
- KIR3DL3 Antibody (Center) (Cat. #P30465) flow cytometry analysis of K562 cells (bottom histogram) compared to a negative control cell (top histogram).FITC-conjugated goat-anti-rabbit secondary antibodies were used for the analysis.
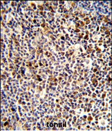
- Formalin-fixed and paraffin-embedded human tonsil reacted with KIR3DL3 Antibody (Center), which was peroxidase-conjugated to the secondary antibody, followed by DAB staining. This data demonstrates the use of this antibody for immunohistochemistry; clinical relevance has not been evaluated.
For Reseach Only
Application Key:WB - Western Blot | IHC - Immunohistochemistry | ICC - Immunocytochemistry | FCM - Flow Cytometry | ELISA - Enzyme-linked Immunosorbent Assay | IP - Immunoprecipitation
#P30465

相关产品


