提醒成功

搜索
Rabbit Polyclonal Antibody to DIPA
-
货号:
P30458 -
别名:
Coiled-coil domain-containing protein 85B, Hepatitis delta antigen-interacting protein A, Delta-interacting protein A, CCDC85B, DIPA -
应用:
WB,IHC-P,FCM -
反应种属:
Human -
抗体类型:
Primary antibody -
Swissprot:
Q15834 -
规格:
-
数量:
-+ -
说明书:
目录价¥1980

Rabbit Polyclonal Antibody to DIPA
Description |
---|
DIPA functions as a transcriptional repressor. It may inhibit the activity of CTNNB1 in a TP53-dependent manner and thus regulate cell growth. It may function in adipocyte differentiation, negatively regulating mitotic clonal expansion. |
Specification |
|
---|---|
Aliases | Coiled-coil domain-containing protein 85B, Hepatitis delta antigen-interacting protein A, Delta-interacting protein A, CCDC85B, DIPA |
Entrez GeneID | 11007 |
Swissprot | Q15834 |
WB Predicted band size | 22.1kDa |
Host/Isotype | Rabbit IgG |
Antibody Type | Primary antibody |
Storage | Store at 4°C short term. Aliquot and store at -20°C long term. Avoid freeze/thaw cycles. |
Species Reactivity | Human |
Immunogen | This DIPA antibody is generated from rabbits immunized with a KLH conjugated synthetic peptide between 69-96 amino acids from the Central region of human DIPA. |
Formulation | Purified antibody in PBS with 0.05% sodium azide,1%BSA and 50% glycerol.prepared by Saturated Ammonium Sulfate (SAS) . |
Application |
|
---|---|
WB | 1/1000 |
IHC | 1/100-1/500 |
FCM | 1/10-1/50 |
Product Image
- Western blot analysis of DIPA Antibody (Center) (Cat. #P30458) in HepG2 cell line lysates (35ug/lane). DIPA (arrow) was detected using the purified Pab.
- DIPA Antibody (Center) (Cat. #P30458) flow cytometric analysis of HepG2 cells (right histogram) compared to a negative control cell (left histogram).FITC-conjugated goat-anti-rabbit secondary antibodies were used for the analysis.
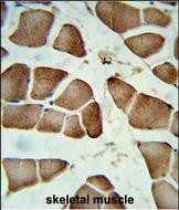
- Formalin-fixed and paraffin-embedded human skeletal muscle reacted with DIPA Antibody (Center), which was peroxidase-conjugated to the secondary antibody, followed by DAB staining. This data demonstrates the use of this antibody for immunohistochemistry; clinical relevance has not been evaluated.
For Reseach Only
Application Key:WB - Western Blot | IHC - Immunohistochemistry | ICC - Immunocytochemistry | FCM - Flow Cytometry | ELISA - Enzyme-linked Immunosorbent Assay | IP - Immunoprecipitation
#P30458

相关产品


