提醒成功
搜索
Rabbit Polyclonal Antibody to EEFSEC
-
货号:
P30449 -
别名:
Selenocysteine-specific elongation factor, Elongation factor sec, Eukaryotic elongation factor, selenocysteine-tRNA-specific, EEFSEC, SELB -
应用:
WB,IHC-P -
反应种属:
Human, Mouse -
抗体类型:
Primary antibody -
Swissprot:
P57772 -
规格:
-
数量:
-+ -
说明书:
目录价¥1980
Rabbit Polyclonal Antibody to EEFSEC
Description |
|---|
EEFSEC is a translation factor necessary for the incorporation of selenocysteine into proteins. It probably replaces EF-Tu for the insertion of selenocysteine directed by the UGA codon. SelB binds GTP and GDP. |
Specification |
|
|---|---|
| Aliases | Selenocysteine-specific elongation factor, Elongation factor sec, Eukaryotic elongation factor, selenocysteine-tRNA-specific, EEFSEC, SELB |
| Entrez GeneID | 60678 |
| Swissprot | P57772 |
| WB Predicted band size | 65.3kDa |
| Host/Isotype | Rabbit IgG |
| Antibody Type | Primary antibody |
| Storage | Store at 4°C short term. Aliquot and store at -20°C long term. Avoid freeze/thaw cycles. |
| Species Reactivity | Human, Mouse |
| Immunogen | This EEFSEC antibody is generated from rabbits immunized with a KLH conjugated synthetic peptide between 541-568 amino acids from the C-terminal region of human EEFSEC. |
| Formulation | Purified antibody in PBS with 0.05% sodium azide. |
Application |
|
|---|---|
| WB | 1/1000 |
| IHC | 1/100-1/500 |
Product Image
- Western blot analysis of EEFSEC Antibody (C-term) (Cat. #P30449) in mouse lung tissue lysates (35ug/lane). EEFSEC (arrow) was detected using the purified Pab.
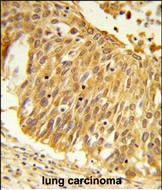
- Formalin-fixed and paraffin-embedded human lung carcinoma reacted with EEFSEC Antibody (C-term), which was peroxidase-conjugated to the secondary antibody, followed by DAB staining. This data demonstrates the use of this antibody for immunohistochemistry; clinical relevance has not been evaluated.
For Reseach Only
Application Key:WB - Western Blot | IHC - Immunohistochemistry | ICC - Immunocytochemistry | FCM - Flow Cytometry | ELISA - Enzyme-linked Immunosorbent Assay | IP - Immunoprecipitation
#P30449
相关产品

微信/QQ登录


首页
