提醒成功
搜索
Rabbit Polyclonal Antibody to CHPF
-
货号:
P30447 -
别名:
Chondroitin sulfate synthase 2, Chondroitin glucuronyltransferase 2, Chondroitin-polymerizing factor, ChPF, Glucuronosyl-N-acetylgalactosaminyl-proteoglycan 4-beta-N-acetylgalactosaminyltransferase II, N-acetylgalactosaminyl-proteoglycan 3-beta-glucuronosyltransferase II, N-acetylgalactosaminyltransferase 2, CHPF, CSS2 -
应用:
WB,IHC-P,FCM -
反应种属:
Human, Mouse -
抗体类型:
Primary antibody -
Swissprot:
Q8IZ52 -
规格:
-
数量:
-+ -
说明书:
目录价¥1980
Rabbit Polyclonal Antibody to CHPF
Description |
|---|
CHPF is a protein that has both beta-1,3-glucuronic acid and beta-1,4-N-acetylgalactosamine transferase activity. Transfers glucuronic acid (GlcUA) from UDP-GlcUA and N-acetylgalactosamine (GalNAc) from UDP-GalNAc to the non-reducing end of the elongating chondroitin polymer. |
Specification |
|
|---|---|
| Aliases | Chondroitin sulfate synthase 2, Chondroitin glucuronyltransferase 2, Chondroitin-polymerizing factor, ChPF, Glucuronosyl-N-acetylgalactosaminyl-proteoglycan 4-beta-N-acetylgalactosaminyltransferase II, N-acetylgalactosaminyl-proteoglycan 3-beta-glucuronosyltransferase II, N-acetylgalactosaminyltransferase 2, CHPF, CSS2 |
| Entrez GeneID | 79586 |
| Swissprot | Q8IZ52 |
| WB Predicted band size | 85.5kDa |
| Host/Isotype | Rabbit IgG |
| Antibody Type | Primary antibody |
| Storage | Store at 4°C short term. Aliquot and store at -20°C long term. Avoid freeze/thaw cycles. |
| Species Reactivity | Human, Mouse |
| Immunogen | This CHPF antibody is generated from rabbits immunized with a KLH conjugated synthetic peptide between 327-354 amino acids from the Central region of human CHPF. |
| Formulation | Purified antibody in PBS with 0.05% sodium azide. |
Application |
|
|---|---|
| WB | 1/1000 |
| IHC | 1/100-1/500 |
| FCM | 1/10-1/50 |
Product Image
- Western blot analysis of CHPF Antibody (Center) (Cat. #P30447) in MDA-MB435, MCF-7, HepG2, A375 cell line and mouse testis tissue lysates (35ug/lane). CHPF (arrow) was detected using the purified Pab.
- CHPF Antibody (Center) (Cat. #P30447) flow cytometry analysis of MCF-7 cells (bottom histogram) compared to a negative control cell (top histogram).FITC-conjugated goat-anti-rabbit secondary antibodies were used for the analysis.
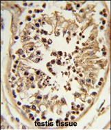
- Formalin-fixed and paraffin-embedded human testis tissue reacted with CHPF Antibody (Center), which was peroxidase-conjugated to the secondary antibody, followed by DAB staining. This data demonstrates the use of this antibody for immunohistochemistry; clinical relevance has not been evaluated.
For Reseach Only
Application Key:WB - Western Blot | IHC - Immunohistochemistry | ICC - Immunocytochemistry | FCM - Flow Cytometry | ELISA - Enzyme-linked Immunosorbent Assay | IP - Immunoprecipitation
#P30447
相关产品

微信/QQ登录


首页
