提醒成功

搜索
Rabbit Polyclonal Antibody to DLX2
-
货号:
P30420 -
别名:
Homeobox protein DLX-2, DLX2 -
应用:
WB,IHC-P -
反应种属:
Human, Mouse -
抗体类型:
Primary antibody -
Swissprot:
Q07687 -
规格:
-
数量:
-+ -
说明书:
目录价¥1980

Rabbit Polyclonal Antibody to DLX2
Description |
---|
DLX2 is likely to play a regulatory role in the development of the ventral forebrain. It may play a role in craniofacial patterning and morphogenesis. Subcellular location: Nucleus (Potential). |
Specification |
|
---|---|
Aliases | Homeobox protein DLX-2, DLX2 |
Entrez GeneID | 1746 |
Swissprot | Q07687 |
WB Predicted band size | 34.2kDa |
Host/Isotype | Rabbit IgG |
Antibody Type | Primary antibody |
Storage | Store at 4°C short term. Aliquot and store at -20°C long term. Avoid freeze/thaw cycles. |
Species Reactivity | Human, Mouse |
Immunogen | This DLX2 antibody is generated from rabbits immunized with a KLH conjugated synthetic peptide between 194-222 amino acids from the Central region of human DLX2. |
Formulation | Purified antibody in PBS with 0.05% sodium azide. |
Application |
|
---|---|
WB | 1/1000 |
IHC | 1/100-1/500 |
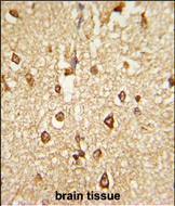
Product Image
- Western blot analysis of DLX2 Antibody (Center) (Cat. #P30420) in 293 cell line lysates (35ug/lane). DLX2 (arrow) was detected using the purified Pab.
- Formalin-fixed and paraffin-embedded human brain tissue reacted with DLX2 Antibody (Center), which was peroxidase-conjugated to the secondary antibody, followed by DAB staining. This data demonstrates the use of this antibody for immunohistochemistry; clinical relevance has not been evaluated.
For Reseach Only
Application Key:WB - Western Blot | IHC - Immunohistochemistry | ICC - Immunocytochemistry | FCM - Flow Cytometry | ELISA - Enzyme-linked Immunosorbent Assay | IP - Immunoprecipitation
#P30420

相关产品


