提醒成功

搜索
Rabbit Polyclonal Antibody to SOD3 (N-term)
-
货号:
P30419 -
别名:
Extracellular superoxide dismutase [Cu-Zn], EC-SOD, SOD3 -
应用:
WB,IHC-P,FCM -
反应种属:
Human -
抗体类型:
Primary antibody -
Swissprot:
P08294 -
规格:
-
数量:
-+ -
说明书:
目录价¥1980

Rabbit Polyclonal Antibody to SOD3 (N-term)
Description |
---|
SOD3 is a member of the superoxide dismutase(SOD) protein family. SODs are antioxidant enzymes that catalyze the dismutation of two superoxide radicals into hydrogen peroxide and oxygen. This protein is thought to protect the brain, lungs, and other tissues from oxidative stress. The protein is secreted into the extracellular space and forms a glycosylated homotetramer that is anchored to the extracellular matrix (ECM) and cell surfaces through an interaction with heparan sulfate proteoglycan and collagen. A fraction of the protein is cleaved near the C-terminus before secretion to generate circulating tetramers that do not interact with the ECM. |
Specification |
|
---|---|
Aliases | Extracellular superoxide dismutase [Cu-Zn], EC-SOD, SOD3 |
Entrez GeneID | 6649 |
Swissprot | P08294 |
WB Predicted band size | 25.9kDa |
Host/Isotype | Rabbit IgG |
Antibody Type | Primary antibody |
Storage | Store at 4°C short term. Aliquot and store at -20°C long term. Avoid freeze/thaw cycles. |
Species Reactivity | Human |
Immunogen | This SOD3 antibody is generated from rabbits immunized with a KLH conjugated synthetic peptide between 7-36 amino acids from the N-terminal region of human SOD3. |
Formulation | Purified antibody in PBS with 0.05% sodium azide. |
Application |
|
---|---|
WB | 1/1000 |
IHC | 1/100-1/500 |
FCM | 1/10-1/50 |
Product Image
- Western blot analysis of SOD3 Antibody (N-term) (Cat. #P30419) in K562 cell line lysates (35ug/lane). SOD3 (arrow) was detected using the purified Pab.
- Flow cytometric analysis of K562 cells using SOD3 Antibody (N-term)(bottom histogram) compared to a negative control cell (top histogram). FITC-conjugated goat-anti-rabbit secondary antibodies were used for the analysis.
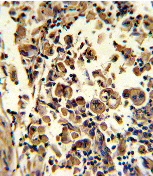
- Formalin-fixed and paraffin-embedded human lung carcinoma reacted with SOD3 Antibody (N-term), which was peroxidase-conjugated to the secondary antibody, followed by DAB staining. This data demonstrates the use of this antibody for immunohistochemistry; clinical relevance has not been evaluated.
For Reseach Only
Application Key:WB - Western Blot | IHC - Immunohistochemistry | ICC - Immunocytochemistry | FCM - Flow Cytometry | ELISA - Enzyme-linked Immunosorbent Assay | IP - Immunoprecipitation
#P30419

相关产品


