提醒成功
搜索
Rabbit Polyclonal Antibody to COLEC11 (N-term)
-
货号:
P30416 -
别名:
Collectin-11, Collectin kidney protein 1, CL-K1, COLEC11 -
应用:
WB,IHC-P,FCM -
反应种属:
Human, Mouse, Rat -
抗体类型:
Primary antibody -
Swissprot:
Q9BWP8 -
规格:
-
数量:
-+ -
说明书:
目录价¥1980
Rabbit Polyclonal Antibody to COLEC11 (N-term)
Description |
|---|
COLEC11 is a member of the collectin family of C-type lectins, which contain a collagen-like domain and a carbohydrate recognition domain, and play a role in host-defense |
Specification |
|
|---|---|
| Aliases | Collectin-11, Collectin kidney protein 1, CL-K1, COLEC11 |
| Entrez GeneID | 78989 |
| Swissprot | Q9BWP8 |
| WB Predicted band size | 28.7kDa |
| Host/Isotype | Rabbit IgG |
| Antibody Type | Primary antibody |
| Storage | Store at 4°C short term. Aliquot and store at -20°C long term. Avoid freeze/thaw cycles. |
| Species Reactivity | Human, Mouse, Rat |
| Immunogen | This COLEC11 antibody is generated from rabbits immunized with a KLH conjugated synthetic peptide between 50-78 amino acids from the N-terminal region of human COLEC11. |
| Formulation | Purified antibody in PBS with 0.05% sodium azide,1%BSA and 50% glycerol.prepared by Saturated Ammonium Sulfate (SAS) . |
Application |
|
|---|---|
| WB | 1/1000 |
| IHC | 1/100-1/500 |
| FCM | 1/10-1/50 |
Product Image
- Western blot analysis of COLEC11 Antibody (N-term) (Cat. #P30416) in MDA-MB231 cell line lysates (35ug/lane). COLEC11 (arrow) was detected using the purified Pab.
- Flow cytometric analysis of MDA-231 cells using COLEC11 Antibody (N-term)(bottom histogram) compared to a negative control cell (top histogram). FITC-conjugated goat-anti-rabbit secondary antibodies were used for the analysis.
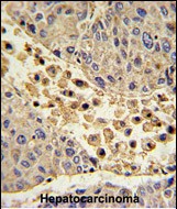
- Formalin-fixed and paraffin-embedded human hepatocarcinoma with COLEC11 Antibody (N-term), which was peroxidase-conjugated to the secondary antibody, followed by DAB staining. This data demonstrates the use of this antibody for immunohistochemistry; clinical relevance has not been evaluated.
For Reseach Only
Application Key:WB - Western Blot | IHC - Immunohistochemistry | ICC - Immunocytochemistry | FCM - Flow Cytometry | ELISA - Enzyme-linked Immunosorbent Assay | IP - Immunoprecipitation
#P30416
相关产品

微信/QQ登录


首页
