提醒成功
搜索
Rabbit Polyclonal Antibody to KPNB1 (N-term)
-
货号:
P30414 -
别名:
Importin subunit beta-1, Importin-90, Karyopherin subunit beta-1, Nuclear factor p97, Pore targeting complex 97 kDa subunit, PTAC97, KPNB1, NTF97 -
应用:
WB,IHC-P,FCM -
反应种属:
Human, Mouse, Rat -
抗体类型:
Primary antibody -
Swissprot:
Q14974 -
规格:
-
数量:
-+ -
说明书:
目录价¥1980
Rabbit Polyclonal Antibody to KPNB1 (N-term)
Description |
|---|
NTF97 is involved in nuclear protein import, either by associating itself with an adapter protein (for example, importin-alpha subunit which binds to nuclear localization signals (NLS) in cargo substrates), or by acting autonomously as a nuclear transport receptor. |
Specification |
|
|---|---|
| Aliases | Importin subunit beta-1, Importin-90, Karyopherin subunit beta-1, Nuclear factor p97, Pore targeting complex 97 kDa subunit, PTAC97, KPNB1, NTF97 |
| Entrez GeneID | 3837 |
| Swissprot | Q14974 |
| WB Predicted band size | 97.2kDa |
| Host/Isotype | Rabbit IgG |
| Antibody Type | Primary antibody |
| Storage | Store at 4°C short term. Aliquot and store at -20°C long term. Avoid freeze/thaw cycles. |
| Species Reactivity | Human, Mouse, Rat |
| Immunogen | This KPNB1 antibody is generated from rabbits immunized with a KLH conjugated synthetic peptide between 190-216 amino acids from the N-terminal region of human KPNB1. |
| Formulation | Purified antibody in PBS with 0.05% sodium azide,1%BSA and 50% glycerol.prepared by Saturated Ammonium Sulfate (SAS) . |
Application |
|
|---|---|
| WB | 1/1000 |
| IHC | 1/100-1/500 |
| FCM | 1/10-1/50 |
Product Image
- Western blot analysis of KPNB1 Antibody (N-term) (Cat. #P30414) in Y79 cell line lysates (35ug/lane). KPNB1 (arrow) was detected using the purified Pab.
- KPNB1 Antibody (N-term) (Cat. #P30414) flow cytometric analysis of CEM cells (bottom histogram) compared to a negative control cell (top histogram).FITC-conjugated goat-anti-rabbit secondary antibodies were used for the analysis.
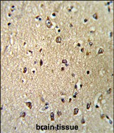
- Formalin-fixed and paraffin-embedded human brain tissue reacted with KPNB1 Antibody (N-term), which was peroxidase-conjugated to the secondary antibody, followed by DAB staining. This data demonstrates the use of this antibody for immunohistochemistry; clinical relevance has not been evaluated.
For Reseach Only
Application Key:WB - Western Blot | IHC - Immunohistochemistry | ICC - Immunocytochemistry | FCM - Flow Cytometry | ELISA - Enzyme-linked Immunosorbent Assay | IP - Immunoprecipitation
#P30414
相关产品

微信/QQ登录


首页
