提醒成功
搜索
Rabbit Polyclonal Antibody to FKBP11 (N-term)
-
货号:
P30413 -
别名:
Peptidyl-prolyl cis-trans isomerase FKBP11, PPIase FKBP11, 19 kDa FK506-binding protein, 19 kDa FKBP, FKBP-19, FK506-binding protein 11, FKBP-11, Rotamase, FKBP11, FKBP19 -
应用:
WB,IHC-P,FCM -
反应种属:
Human, Mouse -
抗体类型:
Primary antibody -
Swissprot:
Q9NYL4 -
规格:
-
数量:
-+ -
说明书:
目录价¥1980
Rabbit Polyclonal Antibody to FKBP11 (N-term)
Description |
|---|
FKBP11 belongs to the FKBP family of peptidyl-prolyl cis/trans isomerases, which catalyze the folding of proline-containing polypeptides. The peptidyl-prolyl isomerase activity of FKBP proteins is inhibited by the immunosuppressant compounds FK506 and rapamycin. |
Specification |
|
|---|---|
| Aliases | Peptidyl-prolyl cis-trans isomerase FKBP11, PPIase FKBP11, 19 kDa FK506-binding protein, 19 kDa FKBP, FKBP-19, FK506-binding protein 11, FKBP-11, Rotamase, FKBP11, FKBP19 |
| Entrez GeneID | 51303 |
| Swissprot | Q9NYL4 |
| WB Predicted band size | 22.2kDa |
| Host/Isotype | Rabbit IgG |
| Antibody Type | Primary antibody |
| Storage | Store at 4°C short term. Aliquot and store at -20°C long term. Avoid freeze/thaw cycles. |
| Species Reactivity | Human, Mouse |
| Immunogen | This FKBP11 antibody is generated from rabbits immunized with a KLH conjugated synthetic peptide between 52-82 amino acids from the N-terminal region of human FKBP11. |
| Formulation | Purified antibody in PBS with 0.05% sodium azide,1%BSA and 50% glycerol.prepared by Saturated Ammonium Sulfate (SAS) . |
Application |
|
|---|---|
| WB | 1/1000 |
| IHC | 1/100-1/500 |
| FCM | 1/10-1/50 |
Product Image
- Western blot analysis of FKBP11 Antibody (N-term) (Cat. #P30413) in mouse stomach tissue lysates (35ug/lane). FKBP11 (arrow) was detected using the purified Pab.
- FKBP11 Antibody (N-term) (Cat. #P30413) flow cytometric analysis of HL-60 cells (right histogram) compared to a negative control cell (left histogram).FITC-conjugated goat-anti-rabbit secondary antibodies were used for the analysis.
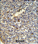
- FKBP11 Antibody (N-term) (Cat. #P30413) IHC analysis in formalin fixed and paraffin embedded human tonsil tissue followed by peroxidase conjugation of the secondary antibody and DAB staining. This data demonstrates the use of the FKBP11 Antibody (N-term) for immunohistochemistry. Clinical relevance has not been evaluated.
For Reseach Only
Application Key:WB - Western Blot | IHC - Immunohistochemistry | ICC - Immunocytochemistry | FCM - Flow Cytometry | ELISA - Enzyme-linked Immunosorbent Assay | IP - Immunoprecipitation
#P30413
相关产品

微信/QQ登录


首页
