提醒成功
搜索
Rabbit Polyclonal Antibody to FKBP10
-
货号:
P30387 -
别名:
Peptidyl-prolyl cis-trans isomerase FKBP10, PPIase FKBP10, 65 kDa FK506-binding protein, 65 kDa FKBP, FKBP-65, FK506-binding protein 10, FKBP-10, Immunophilin FKBP65, Rotamase, FKBP10, FKBP65 -
应用:
WB,IHC-P -
反应种属:
Human -
抗体类型:
Primary antibody -
Swissprot:
Q96AY3 -
规格:
-
数量:
-+ -
说明书:
目录价¥1980
Rabbit Polyclonal Antibody to FKBP10
Description |
|---|
The protein belongs to the FKBP-type peptidyl-prolyl cis/trans isomerase family. It is located in endoplasmic reticulum and acts as molecular chaperones. |
Specification |
|
|---|---|
| Aliases | Peptidyl-prolyl cis-trans isomerase FKBP10, PPIase FKBP10, 65 kDa FK506-binding protein, 65 kDa FKBP, FKBP-65, FK506-binding protein 10, FKBP-10, Immunophilin FKBP65, Rotamase, FKBP10, FKBP65 |
| Entrez GeneID | 60681 |
| Swissprot | Q96AY3 |
| WB Predicted band size | 64.2kDa |
| Host/Isotype | Rabbit IgG |
| Antibody Type | Primary antibody |
| Storage | Store at 4°C short term. Aliquot and store at -20°C long term. Avoid freeze/thaw cycles. |
| Species Reactivity | Human |
| Immunogen | This FKBP10 antibody is generated from rabbits immunized with a KLH conjugated synthetic peptide between 552-580 amino acids from the C-terminal region of human FKBP10. |
| Formulation | Purified antibody in PBS with 0.05% sodium azide,1%BSA and 50% glycerol.prepared by Saturated Ammonium Sulfate (SAS) . |
Application |
|
|---|---|
| WB | 1/1000 |
| IHC | 1/100-1/500 |
Product Image
- Western blot analysis of FKBP10 Antibody (C-term) (Cat.# P30387) in A2058 and A375 cell line lysates (35ug/lane). FKBP10 (arrow) was detected using the purified Pab.
- FKBP10 Antibody (C-term) (Cat. #P30387) flow cytometric analysis of A2058 cells (right histogram) compared to a negative control cell (left histogram).FITC-conjugated goat-anti-rabbit secondary antibodies were used for the analysis.
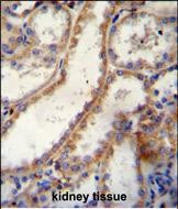
- FKBP10 Antibody (C-term) (Cat. #P30387)immunohistochemistry analysis in formalin fixed and paraffin embedded human kidney tissue followed by peroxidase conjugation of the secondary antibody and DAB staining.This data demonstrates the use of FKBP10 Antibody (C-term) for immunohistochemistry. Clinical relevance has not been evaluated.
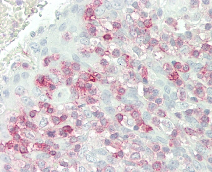
- Formalin-fixed and paraffin-embedded H.tonsil tissue reacted with FKBP10 Antibody (C-term) (Cat#P30387).
For Reseach Only
Application Key:WB - Western Blot | IHC - Immunohistochemistry | ICC - Immunocytochemistry | FCM - Flow Cytometry | ELISA - Enzyme-linked Immunosorbent Assay | IP - Immunoprecipitation
#P30387
相关产品

微信/QQ登录


首页
